中国中西医结合影像学杂志

中国中西医结合影像学杂志

2025年05期
  • 收藏
收藏成功
微博 空间 微信

类型

双月刊

类别

定价
促销信息
全年订阅更优惠!
¥15.00 ¥9.00
目录

结核影像学

基于TBSS对常规MRI检查不同颅内表现结核患者脑白质改变的分析
[摘要]目的:探讨常规MRI检查中不同颅内表现结核患者的脑白质改变及其对认知功能的影响。方法:回顾性纳入颅内结核(ITB)患者24例(ITB组)颅外多器官结核(EMTB)患者26例(EMTB组)和健康对照(HC)25例(HC组)。采用DTI...
双层探测器光谱CT定量参数鉴别纵隔淋巴结结核与非小细胞肺癌纵隔淋巴结转移瘤的价值
[摘要]目的:探讨双层探测器光谱CT(SDCT)定量参数在纵隔淋巴结结核与非小细胞肺癌纵隔淋巴结转移瘤中的表现差异。方法:回顾性分析行胸部SDCT检查且经临床证实的纵隔淋巴结结核患者41例共97个淋巴结(结核组)非小细胞肺癌纵隔淋巴结转移瘤...
基于胸片的迁移学习对活动性肺结核与社区获得性肺炎的鉴别诊断
[摘要]目的:探讨基于胸片的迁移学习构建的模型对活动性肺结核(APTB)与社区获得性肺炎(CAP)的鉴别诊断价值。方法:回顾性收集715例APTB及513例CAP患者的胸片,按照5:3:2比例随机分为训练集(614例)验证集(369例)及测...
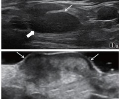
婴儿卡介苗腋窝反应性淋巴结炎超声声像图特征分析
[摘要]目的:探讨超声在婴儿卡介苗腋窝反应性淋巴结炎(BCG-itis)诊断中的应用价值。方法:回顾性分析28例经病理证实的腋窝BCG-itis患儿的超声声像图特征,观察病变淋巴结的长短径比值、形态、边界、淋巴结门、血流情况,并进行分区、分...
临床-CT特征模型对耐多药肺结核的预测价值
[摘要]目的:探讨临床-CT特征模型预测耐多药肺结核(MDR-PTB)的价值。方法:回顾性收集具有药物敏感性试验结果的肺结核患者430例,其中MDR-PTB223例(MDR-PTB组),敏感肺结核(DS-PTB)207例(DS-PTB组)。...
医学影像人工智能在肺结核诊疗中的应用研究进展
[摘要]医学影像人工智能在肺结核的早期筛查、诊断鉴别及预后评估等方面展现出巨大潜力和广阔的应用前景。影像组学通过从医学图像中高效提取大量特征,借助自动或半自动分析技术,将影像数据转化为具有高分辨力的可挖掘数据空间,辅助医师更精准地诊断和治疗...

针灸影像学

经皮耳穴迷走神经刺激调节难治性抑郁症情绪网络的静息态fMRI研究
[摘要]目的:探讨经皮耳穴迷走神经刺激(taVNS)对难治性抑郁症(TRD)纹状体功能的即刻调制作用。方法:纳入42例TRD患者(TRD组),以及性别、年龄相匹配的健康受试者40例(对照组)。2组采用汉密尔顿抑郁量表(HAMD-17)进行评...

中西医结合研究

PD-1/PD-L1免疫抑制剂联合扶正祛邪方 治疗晚期非小细胞肺癌的预后相关
[摘要]目的:评估程序性死亡蛋白1(PD-1)/程序性死亡配体1(PD-L1)免疫抑制剂联合扶正祛邪方治疗晚期非小细胞肺癌(NSCLC)的有效性、安全性,以及疗效预测因素。方法:回顾性分析92例经病理证实、TNM分期为II~V期的NSCLC...
基于 T1W/T2W 比值图分析不同中医证型孤独症谱系障碍患儿脑髓鞘发育异常及其与临床症状的关系
[摘要]目的:基于 T1W/T2W 比值图,探讨不同中医证型孤独症谱系障碍(ASD)患儿脑髓鞘发育改变及其与ASD症状的关系。方法:收集150例ASD患儿(ASD组),基于不同中医证候分为心肝火旺证41例,痰蒙心窍证28例,心脾两虚证28例...

神经影像学

动脉自旋标记对急性缺血性脑卒中早期神经功能衰退的预测价值
[摘要]目的:评价动脉自旋标记(ASL)对急性缺血性脑卒中(AIS)患者早期神经功能衰退(END)的预测价值。方法:收集198例AIS患者,根据美国国立卫生研究院脑卒中量表(NIHSS)评分分为END组68例和非END组130例。通过单因素...

胸部影像学

浸润性乳腺癌术前DCE-MRI定量参数及ADC值与术后2年结局的关系
[摘要]目的:探讨浸润性乳腺癌术前磁共振动态增强扫描(DCE-MRI)定量参数及ADC值与术后2年结局的关系。方法:回顾性分析行乳腺癌根治术的316例浸润性乳腺癌患者资料,术前均行DCE-MRI和DWI检查,获取相关参数:转运常数(Kms)...
多模态超声预测乳腺癌腋窝淋巴结转移的临床价值
[摘要]目的:探讨多模态超声对乳腺癌腋窝淋巴结转移(ALNM)的预测价值。方法:回顾性分析经病理诊断的92例乳腺癌患者的临床及超声资料,术前均行灰阶超声、彩色多普勒超声及超声造影检查,根据术后病理结果分为ALNM组(30例)和无ALNM组(...

腹部影像学

ADC直方图分析在慢性肾脏病患者肾间质纤维化评估中的价值
[摘要]目的:探讨基于肾皮质ADC的直方图分析在评估慢性肾脏病(CKD)患者肾间质纤维化中的应用价值。方法:回顾性收集50例CKD患者,采用半定量方法分为轻度纤维化组27例和中重度纤维化组23例,2组均在肾组织活检前行DWI检查。利用Fir...
经阴道超声对子宫内膜息肉的诊断价值
[摘要]目的:观察经阴道超声(TVS)对子宫内膜息肉(EP)的诊断价值。方法:回顾性选取经TVS诊断为疑似EP的353例患者作为研究对象,其中育龄期327例,绝经后26例;300例存在异常子宫出血症状(包括经间期出血、经期延长、月经先期、月...
E-cervix宫颈弹性成像技术在正常妊娠孕妇不同孕期宫颈硬度分析中的应用
[摘要]目的:应用E-cervix宫颈弹性成像技术探讨正常妊娠孕妇不同孕期宫颈弹性参数的变化规律。方法:选取常规产检孕妇185例行E-cervix宫颈弹性成像,随访排除早产8例、胎儿严重畸形3例,最终纳入174例,其中妊娠12周49例妊娠,...

骨骼肌肉影像学

早期膝骨关节炎软骨 T2 -mapping成像定量分析与滑液中IL-1含量的相关性
[摘要]目的:探讨早期膝骨关节炎软骨MRI T2 mapping成像测量的 T2 值与滑液中白细胞介素1(IL-1)含量的相关性。方法:选取经临床诊断的早期膝骨关节炎患者46例,行膝关节常规序列及 T2 -mapping序列扫描,经图像后处...
基于定量CT探讨绝经后T2DM患者发生肌少症的危险因素
[摘要]目的:基于定量CT分析绝经后2型糖尿病(T2DM)患者腹部脂肪、腰椎骨密度与肌少症的关系。方法:回顾性分析180例绝经后女性T2DM患者(T2DM组)及150例年龄相匹配的非糖尿病患者(对照组)的临床、腹部CT资料,根据CT测量的 ...
不同亚型颅底脊索瘤的影像诊断及预后分析
[摘要]目的:探讨不同亚型颅底脊索瘤的CT和MRI诊断及不同治疗方法的预后分析。方法:收集行CT、MRI检查并经病理证实的颅底脊索瘤67例,随访1~119个月。结果:67例中经典型49例,软骨样型10例,去分化型8例。3种亚型患者的年龄、性...

儿科影像学

婴幼儿呼吸频率对不同螺距模式下胸部双源CT辐射剂量和图像质量的影响
[摘要]目的:探讨婴幼儿呼吸频率对大螺距模式(HPM)和小螺距模式(LPM)下胸部CT辐射剂量和图像质量的影响。方法:选择80例行胸部CT检查的患儿,随机分为HPM组和各LPM组各40例。HPM组行HPM胸部CT检查,LPM组行LPM胸部C...

智能影像学

深度学习在踝关节软骨MRIBLADE序列成像中的应用
[摘要]目的:探讨人工智能超分辨增强(SRE)算法和去噪增强(DNE)算法深度学习在踝关节软骨MRI刀锋(BLADE)序列成像中的应用。方法:选择踝关节软骨损伤患者(患者组)和踝关节健康志愿者(对照组)各15例。先完成MRI校准水模成像,2...
多b值DWI影像组学特征稳定性、可重复性及其对肝硬化的诊断效能
[摘要]目的:探讨肝硬化多b值DWI影像组学特征的稳定性和可重复性,及其诊断效能。方法:收集126例肝硬化患者(肝硬化组)和102例健康被试者(对照组)的多b值DWI数据,从中提取90个影像组学特征。用变异系数百分比( Ω0/0COV 评估...
新型关联规则模型对PSA灰区前列腺癌的预测价值
[摘要]目的:基于前列腺影像报告和数据系统2.1版(PI-RADSV2.1)评分等临床资料创建新型关联规则预测模型,评价其对前列腺特异性抗原(PSA)灰区前列腺癌的预测效能。方法:回顾性收集100例前列腺疾病患者,采用抽签法随机分为建模组(...

介入影像学

CT-DSA融合成像在左心耳封堵术中的应用
[摘要]目的:探讨CT-DSA融合成像在左心耳封堵术(LAAO)中应用的有效性和安全性。方法:收集110例行LAAO的患者,随机分为CT-DSA融合组(55例)和标准DSA组(55例)。CT-DSA融合组在CT-DSA融合图像引导下行LAA...
DSA引导下经皮穿刺微球囊压迫术治疗原发性三叉神经痛的临床疗效
[摘要]目的:评价DSA引导下经皮穿刺微球囊压迫术(PMC)治疗原发性三叉神经痛的临床疗效。方法:对30例原发性三叉神经痛患者给予标准化PMC治疗。观察患者术后不同时间Brisman疗效、视觉模拟量表(VAS)评分、巴罗神经病学研究所(BN...
DSA引导下经颈内或锁骨下静脉穿刺植入静脉输液港的对比分析
[摘要]目的:探讨完全植入式输液港(TIAP)经DSA引导下不同穿刺路径的有效性和安全性,为临床TIAP植入路径选择提供参考。方法:选取行DSA引导下静脉输液港植人患者267例,根据穿刺路径分为经颈内静脉组(116例)和经锁骨下静脉组(15...

影像技术

基于知识图谱的腹部前后立位片的智能质量控制
[摘要]目的:设计一种基于知识图谱腹部前后立位片(腹部平片)的影像智能质量控制(质控)算法模型应用于临床实践。方法:在安徽省影像云平台获得4499张脱敏后的腹部平片,按7:1:2比例分为训练集3136张、验证集457张和测试集906张。构建...

信息

《中国中西医结合影像学杂志》2026年征订启事
《中国中西医结合影像学杂志》是中国中西医结合学会系列杂志之一,由中国科学技术协会主管、中国中西医结合学会和山东中医药大学附属医院主办,于2003年第1季度正式创刊。本刊已被知网、万方、维普等收录。本刊已被评为中国科技核心期刊、中国科技论文统...
相关杂志
订阅全年后,您可享受以下权益
①该本杂志即日起至未来1年内所有更新电子版杂志的使用权限;
②赠送该杂志的部分往期的杂志的使用权限,有效期1年。

全年订购价格: ¥54.00

订阅全年
--%>

登录龙源期刊网

温馨提示:

1.点击网站右上角的“充值”按钮可以为您的账号充值

2.充值金额可以选择30,50,100或500元

3.充值成功后即可购买网站上的任意杂志或文章

还没有龙源账户? 立即注册

购买杂志

中国中西医结合影像学杂志

杂志价格:¥9.00元

  • 微信扫码支付
  • 当前余额:100.00

购买杂志

中国中西医结合影像学杂志

杂志价格:¥9.00元

  • 微信扫码支付
  • 当前余额:¥100.00

    去充值
monitor
客服机器人