注册帐号丨忘记密码?
1.点击网站首页右上角的“充值”按钮可以为您的帐号充值
2.可选择不同档位的充值金额,充值后按篇按本计费
3.充值成功后即可购买网站上的任意文章或杂志的电子版
4.购买后文章、杂志可在个人中心的订阅/零买找到
5.登陆后可阅读免费专区的精彩内容
打开文本图片集
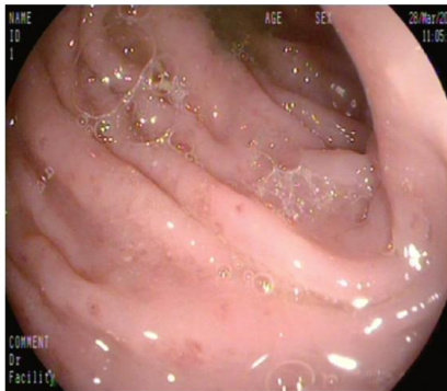
[关键词]溃疡性结肠炎;五运六气;先天体质;医案
[中图分类号]R249 [文献标志码]B [文章编号]0256-7415(2025)18-0218-04
DOl:10.13457/j.cnki.jncm.2025.18.040
溃疡性结肠炎是一种病因尚不十分清楚的慢性非特异性结肠炎症性疾病,属于西医学炎症性肠病的范畴,与中医学久痢、休息痫和大疲泄等病证较为相似[1-2]。(剩余5286字)
登录龙源期刊网
购买文章
基于五运六气理论治疗溃疡性结肠炎医案1则
文章价格:4.00元
当前余额:100.00
阅读
您目前是文章会员,阅读数共:0篇
剩余阅读数:0篇
阅读有效期:0001-1-1 0:00:00