抗磷脂综合征致青年静脉窦血栓1例并文献复习

打开文本图片集
[中图分类号]R593.2;R743.33 [文献标志码]B [文章编号] 2096-5532(2025)04-0622-04
doi:10.11712/jms.2096-5532.2025.61.107
[Abstract]ObjectiveToexplorethediagnosisandtreatment strategiesforantiphospholipidsyndrome-induced venous sinus thrombosis ina young adult.MethodsAcaseof venous sinus thrombosis caused byantiphospholipid syndromeinayoungadult was reported.Thediagnosisand treatment processof thispatientandrelatedliterature werereviewed.ResultsThepatient,a young female,wasadmitedtohospitalwithcomplaintsofheadacheand was diagnosed with venoussinus thrombosis.Common causes wereexcludedandantiphospholipidsyndromewasconfirmedastheunderlying etiology.The patientshowed improvement andwasdischargedafteranticoagulationtherapy,withfolow-upindicatingsignificantresolutionofthevenoussinusthrombosis. ConclusionAntiphospholipidsyndromecombinedwithintracranialvenous sinus thrombosis isararebutserious disease,which canlead tointracranialhypertensioandvenouscerebralinfrctionEarlydiagnosisandlong-termstandardizedanticoagulantthrapy can improve the prognosis of such patients.
[Key words] antiphospholipid syndrome; sinus thrombosis,intracranial;young adult;case reports
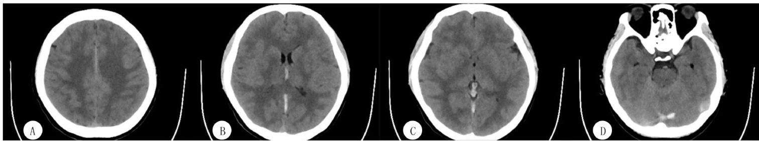
抗磷脂综合征(APS)是一种具有特异性临床病理表现的凝血原性自身免疫性疾病,是引起急性缺血性卒中和短暂性脑缺血发作(TIA)的明确原因,特别是在年轻病人中[1]。(剩余9036字)