赣南医科大学学报

赣南医科大学学报

2025年10期
  • 收藏
收藏成功
微博 空间 微信
《赣南医学院学报》是由赣南医学院主办、国内外公开发行的综合性医药卫生类学术性刊物,月刊。本刊以反映我院及国内外的科研、医...     展开

类型

月刊

类别

定价
促销信息
全年订阅更优惠!
¥15.00 ¥9.00
目录

肿瘤学·基础与临床

孕激素相关子宫内膜蛋白在肝细胞癌预后及免疫调节中作用的生物信息学分析
摘 要:目的:系统评估孕激素相关子宫内膜蛋白(Progestagen-associated endometrial protein,PAEP)在肝细胞癌(Hepatocellular carcinoma,HCC)中的表达特征、预后价值及其在...
3-疏基丙酮酸硫基转移酶敲低稳转神经胶质瘤细胞系的构建及表达
摘要:目的:构建3-疏基丙酮酸硫基转移酶(3-mercaptopyruvate sulfurtransferase,MPST)敲低的神经胶质瘤稳转细胞系GSC1023和GBM0709,并分析MPST在神经胶质瘤细胞内的定位。方法:设计并合成...
泛素特异性蛋白酶44的结构功能及其在恶性肿瘤中的作用
摘要:泛素特异性蛋白酶44(Ubiquitin-specific protease 44,USP44)作为泛素特异性蛋白酶(Ubiquitin-specificprotease,USP)家族的一员,通过自身去泛素化作用,在恶性肿瘤的发生发展...

糖尿病专题

我国糖尿病前期健康管理研究趋势的文献计量学分析
摘要:目的:基于文献计量学方法分析我国糖尿病前期健康管理领域研究热点及趋势。方法:以“糖尿病前期&健康管理”“糖尿病前期&筛查”“糖尿病前期&风险评估”“糖尿病前期&干预”“糖尿病前期&随访”为关键词...

临床研究

多学科协作绿色通道模式下股骨颈动力交叉钉系统治疗股骨颈骨折的疗效分析
摘要:目的:探讨多学科协作绿色通道模式下股骨颈动力交叉钉系统(Femoral neck dynamic crosscrew system,FNS)治疗股骨颈骨折的临床效果。方法:回顾性分析2022年1月至2024年1月我院收治的90例 18...
多西环素治疗8岁以下儿童耐药肺炎支原体肺炎可行性分析
摘要:目的:探讨多西环素治疗8岁以下儿童耐药性肺炎支原体肺炎(Mycoplasma pneumoniae pneumonia,MPP)的有效性和安全性,分析低龄儿童使用多西环素的安全性。方法:回顾性分析2024年1月至2025年4月赣州市南...
乌司他丁联合抗生素治疗对老年重症肺炎患者呼吸道纤毛清除功能的影响
摘要:目的:探讨乌司他丁联合抗生素治疗对老年重症肺炎患者呼吸道纤毛清除功能的影响。方法:纳入2024年1月至2025年1月于开封市人民医院进行治疗的102例老年重症肺炎患者,按随机数字表法将102例患者分为对照组和观察组,各51例。对照组采...
慢加急性肝衰竭患者非生物型人工肝支持系统治疗后总胆红素清除率与90天短期预后关系
摘要:目的:探讨慢加急性肝衰竭(Acute-on-chronic liver failure,ACLF)患者在接受非生物型人工肝支持系统(Artificial liversupport system,ALSS)治疗后,其总胆红素的清除率(T...

影像医学与核医学

CT成像中金属伪影产生机制及校正方法的研究进展
摘要:金属植入物在全身各系统中的临床应用日益广泛,显著改善了患者的生活质量和疾病预后。然而,由于射线硬化和光子饥饿等效应,金属植入物在CT图像中会产生金属伪影,严重影响影像学诊断和评估。随着CT成像技术和计算机科学的飞速发展,多种降低金属伪...

个案报道

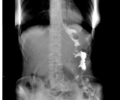
胃癌合并胃间质瘤和空肠瘤样钙盐沉积症1例
关键词:胃癌;胃肠间质瘤;空肠;瘤样钙盐沉积症 中图分类号:R656.6+1文献标志码:B 文章编号:2097-7174(2025)10-0980-02 DOI:10.3969/j.issn.2097-7174. 2025.10.010 胃...
残留卡马西平与复方氨酚烷胺片序贯使用致中毒性表皮坏死松解症1例
关键词:复方氨酚烷胺片;卡马西平;中毒性表皮坏死松解症;药物残留;协同致敏 中图分类号:R758.25文献标志码:B文章编号:2097-7174(2025)10-0982-02 DOI:10.3969/j. issn. 2097-7174....

护理研究

以患者和家庭为中心的群组式管理在女性康复期精神分裂症患者中的应用效果
摘要:目的:探讨基于以患者和家庭为中心的群组式管理方案对康复期精神分裂症患者的社会功能缺陷和病耻感水平影响。方法:选取2022年1月至12月在宜春市某三级医院住院的康复期精神分裂症患者作为研究对象,采用抛硬币法选取精神科女一病区30例患者为...
局部氧疗联合多种药物湿敷治疗药物外渗损伤的效果观察
摘要:目的:探讨局部氧疗联合硫酸镁 + 地塞米松 +50% 葡萄糖溶液(Glucose solution,GS) + 维生素 B12 湿敷治疗药物外渗损伤的应用效果。方法:采用便利抽样法,选取2023年5月—2025年3月我院收治发生药物外...
未破裂颅内动脉瘤患者出院准备的描述性质性研究
摘要:目的:分析未破裂颅内动脉瘤患者住院期间体验及出院后需求,为未破裂颅内动脉瘤患者出院护理干预提供参考。方法:采用描述性质性研究设计,使用目的抽样法选取于2024年12月—2025年2月在江西省赣州市某三级甲等综合医院神经外科病区住院接受...
藻酸盐敷料在肛周脓肿术后患者中的临床护理应用
摘要:目的:探讨藻酸盐敷料在肛周脓肿术后患者中的临床护理效果。方法:选取2023年2月至2025年2月我院收治的84例肛周脓肿手术患者,采用随机数字表法将其分为对照组和试验组,各42例。对照组接受常规护理结合凡士林纱布换药;试验组则基于相同...
身心并重共护模式在弥漫大B细胞淋巴瘤化疗患者中的应用研究
摘要:目的:探讨身心并重共护模式在弥漫大B细胞淋巴瘤(Diffuselarge B-cellymphoma,DLBCL)化疗患者中的干预效果。方法:选取2023年4月—2024年4月许昌市人民医院收治的96例DLBCL化疗患者为研究对象,按...

综述

血管平滑肌细胞在动脉粥样硬化中的作用
摘要:血管平滑肌细胞(Vascular smooth musclecell,VSMC)是动脉中膜的主要细胞成分,在生理状态下,VSMC具有较低的迁移、增殖能力及较强的收缩能力。VSMC的收缩能力可维持血管的弹性和形态结构。近年来,随着谱系示...
超声引导下横突间阻滞的临床应用进展
摘要:超声引导下横突间阻滞(Intertransverse processblock,ITPB)是一种类椎旁神经阻滞技术,其核心操作是在超声实时引导下,将局麻药注射至肋横突上韧带后方的横突间组织复合体内。因其操作简单,安全有效,并发症少而受...
牙周炎与糖尿病微血管病变的关联机制研究进展
摘要:由于糖尿病患者长期处于高血糖状态,易导致微血管损伤,进而引发糖尿病微血管病变,主要包括糖尿病视网膜病变(Diabetic retinopathy,DR)、糖尿病肾脏病(Diabetic kidneydisease,DKD)和糖尿病周围...
相关杂志
订阅全年后,您可享受以下权益
①该本杂志即日起至未来1年内所有更新电子版杂志的使用权限;
②赠送该杂志的部分往期的杂志的使用权限,有效期1年。

全年订购价格: ¥108.00

订阅全年
--%>

登录龙源期刊网

温馨提示:

1.点击网站右上角的“充值”按钮可以为您的账号充值

2.充值金额可以选择30,50,100或500元

3.充值成功后即可购买网站上的任意杂志或文章

还没有龙源账户? 立即注册

购买杂志

赣南医科大学学报

杂志价格:¥9.00元

  • 微信扫码支付
  • 当前余额:100.00

购买杂志

赣南医科大学学报

杂志价格:¥9.00元

  • 微信扫码支付
  • 当前余额:¥100.00

    去充值
monitor
客服机器人