CT成像中金属伪影产生机制及校正方法的研究进展

打开文本图片集
关键词:计算机断层扫描;金属伪影降低算法;双能CT虚拟单能量成像 中图分类号:R318.04文献标志码:A 文章编号:2097-7174(2025)10-0972-08 DOI:10.3969/j.issn.2097-7174.2025.10.009
Abstract:Metal implantsareincreasinglyusedinclinical applicationsacross varioussystemsofthebody,significantly improving patients'qualityof lifeand disease outcomes.However,due to efects such as beam hardening and photon starvation,metal implantscanproducemetalartifactsinCTimages,severelycompromisingdiagnosticandevaluative imaging.Withtherapid advancement of CT imaging technologyandcomputer science,the mainstream metal artifact reduction techniques currentlyinclude:adjusting scanningand reconstruction parameters,metal artifact reduction (MAR),diferentimage reconstructionalgorithms(filteredbackprojection,model-based iterativereconstruction,etc.) and CTvirtual monoenergetic imaging (VMI).Asacrucialpost-processng technique forreducing metal artifacts,MAR algorithmsprimarilyorkbyidentifingandorrectingdatainartifact-affctedregions tofctivelymitigatemetalartifacts. Nevertheless,theeficacyofMARalgorithms isinfluencedbyvarious factors,includingtheexaminedanatomicalregion, the typeof MARalgorithm,the materialand shapeofthe metal implant,and thescanning equipment.This review summarizes the causes of CT metal artifacts and the application and research progressof current mainstream MAR algorithmsindiferentclinicalscenarios,aiming toprovidereferences forclinical practiceand promotemoreprecise imaging evaluation.
Keywords:Computed tomography;Metal artifacts;Virtual monochromatic spectral imaging
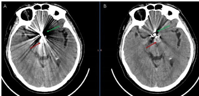
计算机断层扫描(Computed tomography,CT)以其快速成像和精细的解剖结构显示,已成为现代医学影像学中不可或缺的工具。(剩余17338字)