注册帐号丨忘记密码?
1.点击网站首页右上角的“充值”按钮可以为您的帐号充值
2.可选择不同档位的充值金额,充值后按篇按本计费
3.充值成功后即可购买网站上的任意文章或杂志的电子版
4.购买后文章、杂志可在个人中心的订阅/零买找到
5.登陆后可阅读免费专区的精彩内容
打开文本图片集
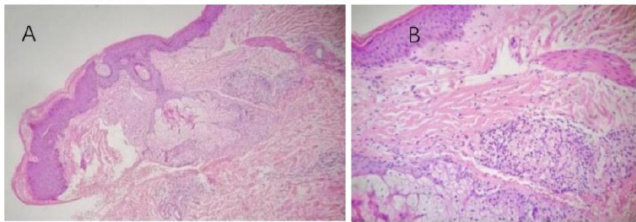
关键词:麻风病;瘤型麻风;麻风反应;Sweet综合征;I型麻风反应
中图分类号:R755 文献标志码:B 文章编号:1001-5779(2025)07-0675-03
DOI:10.3969/j.issn.1001-5779. 2025.07.011
麻风病系由麻风分枝杆菌感染引发的慢性传染病,其病理特征主要集中于皮肤组织、外周神经系统、上呼吸道黏膜和眼睛等组织器官的损害。(剩余4096字)
登录龙源期刊网
购买文章
Sweet综合征样Ⅱ型麻风反应1例
文章价格:4.00元
当前余额:100.00
阅读
您目前是文章会员,阅读数共:0篇
剩余阅读数:0篇
阅读有效期:0001-1-1 0:00:00