MRI影像组学对胰腺导管腺癌病理分化程度的预测价值

打开文本图片集
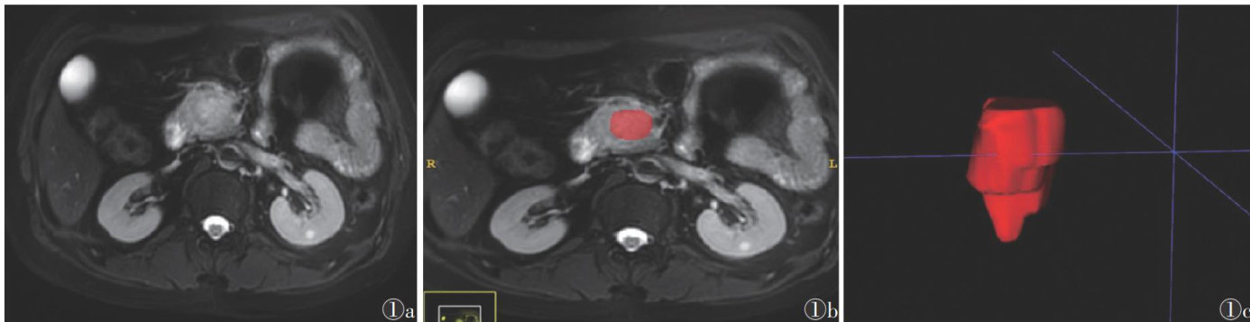
[Abstract]Objective:ToexplorethepreoperativevalueofMRIradiomicsmodelforthepathologicaldiferentiationdegree of pancreaticductaladenocarcinoma(PDAC).Methods:ThepancreaticMRIimagesandclinicaldataof96PDACpatients wereretrospectivelycollected.Thepatientsweredividedintoamedium-highdiferentiationgroup(52cases)andalow diferentitiongroup(44cases)basedonthepathologicaldiferentiationdegreeaftersurgeryROIsweredelineatedforthe tumorlayerbylayer,fromtheTSPIR,DWI,arterial phase,parenchymal phaseandvenousphaseiamges.Theradiomics featureswere extractedusingtheopen-sourcesoftware,andaradiomicsmodelwasestablishedusingsupport vector machine(SVM)asaclassifier.96patientswererandomlydividedintoatrainingcohort(67cases)andatesting cohort(29cases)ataratioof7:3.Thenthefive-foldcros-validationwasusedtointerallyvalidatetheradiomicsmodel andidentifythebesthyperparametersinthetrainingcohort.ROCcurveswereusedtoevaluatetheeficacyofthemodel. Results:TheclinicaldataorMRIfeatureshadnosignificantdiferences betweenthemedium-highdiferentiationandlow differentiation groups(all P >0.05).A radiomicsmodel named Mean-RFE-18-SVM,capable of distinguishing the pathological diferentiationdegreeofPDAC,wasestablishedusing18radiomicsfeaturesselectedfromfivesequenceimages.Themodel performedwellininternalvalidation,withanaverageAUCofO.829,andtheAUCsforthetrainingandtestingcohorts were0.933(95%CI0.874-0.991)and0.846(95%CI0.697-0.995),respectively,withtheacuraciesof0.881and0.828,the sensivitiesof10oOand0.875,thespecificitiesof0.742and0.769,respectivelyConclusions:Themodelestablishedbased onMRIradiomicsfeaturesdemonstratesgooddiagnosticeficacyinnon-invasivepreoperativepredictionofthepathological diferentiationdegreeofPDAC.Itcanprovidemoredecisionsupportinformationforpersonalizeddiagnosisandtreatmentas well as prognosis assessment of PDAC patients.
[Keywords]Pancreaticductaladenocarcinoma;Pathologicaldiferentiationdegree;Magneticresonanceimaging;Radiomics
胰腺导管腺癌(pancreatic ductal adenocarcinoma,PDAC)恶性程度高,预后差,5年生存率仅 10%[1-2] PDAC的病理分化程度是评估患者预后的重要指标,可指导临床制订治疗方案[3-4]。(剩余7442字)