颅内生殖细胞瘤放化疗后脑萎缩1例并文献复习

打开文本图片集
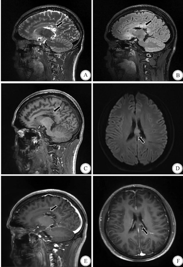
Abstract:ObjectiveTo explore the clinical conditions and imaging results of cerebraland cerebelar atrophy occurredafterchemoradiotherapyforintracranialgerm celltumors,toenhanceunderstandingoflong-term complications asociated with the treatment of intracranial germ cell tumors.MethodsTheclinical dataof a 22- year-old patient withaintracranial germcelltumorinthecorpuscalosumwhowasadmitted totheDepartmentof Neurosurgery.theAfiliated HospitalofSichuanNorth MedicalColegeinJuly2O22wereanalyzedretrospectively. The relevant literature was reviewed.ResultsFollow-up imaging revealed progresiveatrophy of the patient's cerebrumand cerebelum,whichcorrelated with ataxia,cognitive impairment,and motor coordination deficits.The International Cooperative Ataxia Rating Scale(ICARS)score decreased from 76 to 69.ConclusionsThepotential severe neurotoxicityassociatedwith chemoradiotherapy for intracranial germ celltumors,underscoring theneed for enhanced treatment monitoring and individualized strategies to mitigate long-term risks.The underlying mechanisms of disease progression and optimal treatment approaches remain unclear,warranting further research to improve therapeutic efficacy and prognosis.
Key words:intracranial germ celltumor;radiotherapy;chemotherapy;cerebral atrophy;imaging manifestation
颅内生殖细胞肿瘤(germcelltumors,GCTs)是指原发于颅内有特殊病理性质、临床表现和治疗方法的肿瘤,它是起源于胚生殖细胞,好发于儿童及青少年,包括生殖细胞瘤和非生殖细胞瘤型生殖细胞瘤。(剩余9743字)