变色龙内镜联合“内听道处理三件套”在听神经瘤术中内听道个体化处理中的应用5例并文献复习

打开文本图片集
【中图分类号】 R651 【文献标志码】 A 【文章编号】 1672-7770(2025)06-0668-05
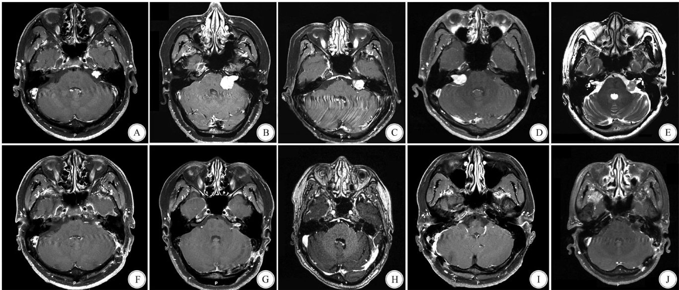
Abstract: ObjectiveTo explore the clinical application value of the Chameleon endoscope combined with the“three-piece set for internal auditory canal(IAC)” in clearing residual tumors in the IAC during microsurgical resection of acoustic neuroma.MethodsThe clinical data of 5 patients who underwent microsurgical resection of acoustic neuroma with residual IAC tumors, treated by the Chameleon endoscope combined with the“three-piece set for IAC” in the Department of Neurosurgery,the First Afiliated Hospital of Chongqing Medical University from August 2023 to June 2024,were analyzed retrospectively. The relevant literature were summarized and reviewed. ResultsGross total resection of tumors was achieved in all 5 patients.One patient retained functional hearing,one suffred from hearing loss(tumor diameter:approximately 3 cm),and the other three maintained preoperative hearing levels. At 6 months postoperatively, the HouseBrackmann(H-B) facial nerve function grade was II in 1 patient and I in the remaining 4 patients. Postoperative intracranial infection occurred in 1 patient,with no other complications. Conclusions The Chameleon endoscope can effectively expose the entire IAC. Combined with the“three-piece set for IAC”,it allows for complete clearance of residual tumors at the narrow fundus of the IAC, serving as a reliable technical guarantee for preserving facial nerve function and hearing.
Key words:acoustic neuroma; Chameleon endoscope; three-piece set for internal auditory canal
听神经瘤亦称前庭神经鞘瘤,约占脑桥小脑角(cerebellopontineangle,CPA)肿瘤的 80% 、颅内肿瘤的 6%~9%[1] 。(剩余9076字)