精准医学杂志

精准医学杂志

2025年05期
  • 收藏
收藏成功
微博 空间 微信
《精准医学杂志》是2017年7月由《齐鲁医学杂志》更名而来(国家新闻出版广电总局批复),为我国目前批准创办的第一份有关精...     展开

类型

双月刊

类别

定价
促销信息
全年订阅更优惠!
¥20.00 ¥12.00
目录

述评

高通量微流控平台在肿瘤精准诊疗中的应用研究进展
[摘要]恶性肿瘤的治疗虽已进人化疗、靶向治疗、免疫治疗等手段相结合的综合治疗时代,但距离个体化的精准治疗仍有较大差距。体内外药敏检测模型的研发推动了功能性精准医疗的发展。其中,高通量微流控平台具备高通量、高灵敏度、高度集成化与小型化等优点,...

论著

CCR2过表达小鼠CD8+TILs活化对小鼠脑胶质瘤 细胞增殖与凋亡的影响
[摘要]目的构建CC趋化因子受体2(CCR2)过表达的小鼠 CD8+ 肿瘤浸润淋巴细胞(TILs),探讨CCR2过表达小鼠 CD8+ TILs 活化对小鼠脑胶质瘤细胞增殖与凋亡的影响。方法取C57BL/6J小鼠肺腺癌组织分离提取 CD8+T...
miR55对阿霉素诱导的树突状细胞激活以及T细胞增殖的影响及其机制
[摘要]目的探讨miR155对阿霉素(DOX)诱导的树突状细胞(DC)激活以及T细胞增殖的影响及其机制。方法4T1细胞分别用含有 0.0.1,0.5,1.0,2.0,4.0,8.0,10.0mg/L DOX的细胞培养液培养 24h(A~H ...
细胞外基质硬度对原代人前列腺癌细胞炎症因子 表达的影响
[摘要」目的探讨细胞外基质(ECM)硬度对原代人前列腺癌细胞炎症因子表达的影响。方法将原代人前列腺癌细胞分别接种于 0.1g/L(A 组)和 8g/L/B 组)ECM溶液孵育过的培养皿中进行培养,使用明场显微镜观察两组细胞生长形态,并于接种...
CDK12抑制剂与PARP抑制剂联用对胰腺癌裸鼠肿瘤和肠道菌群的影响
[摘要]目的探讨CDK12 抑制剂和 PARP抑制剂联用对胰腺癌裸鼠肿瘤和肠道菌群的影响。方法将胰腺癌PANC1细胞悬液接种于裸鼠右侧背部皮下制备胰腺癌模型。模型制备成功后,随机分为对照组(灌胃玉米油)、CDK12抑制剂组(灌胃CDK12抑...
镇静需求量表工具在口腔静脉镇静与全身麻醉决策中的应用效果
[摘要]目的探讨镇静需求量表(IOSN)工具在口腔静脉镇静与全身麻醉决策中的应用效果。方法选取2023年7月—2024年5月于我院无痛牙科中心就诊并接受静脉镇静或全身麻醉下口腔治疗的患者68例。根据镇静方式不同分为两组,其中静脉镇静组33例...
CSF1R基因多态性与散发性帕金森病的相关性研究
[摘要]目的探究集落刺激因子1受体(CSF1R)基因多态性与散发性帕金森病(Parkinson's disease,PD)的发病风险及表型间的关系。方法中国北方汉族人群研究:选择2017年12月—2023年6月于我院神经内科收治的5...
炎症性肠病患者疲劳症状发展轨迹及其影响因素
[摘要]目的探讨炎症性肠病(inflammatory bowel disease,IBD)患者疲劳症状发展轨迹及其影响因素。方法采用便利抽样法选取2023年7月—2024年5月就诊于青岛大学附属医院消化内科的290例IBD患者作为研究对象,...
男性痛风患者发生骨侵蚀的危险因素分析
[摘要]目的 探究男性痛风患者发生骨侵蚀的危险因素。方法 选择 2020年1月—2021年12月初次就诊于青岛大学附属医院痛风临床医学中心并进行肌骨超声检查的男性痛风患者共297例,根据肌骨超声检查结果中的骨侵蚀情况,将患者分为有骨侵蚀组7...
抗癫痫药对成年癫痫患者体内细胞铁死亡的影响
[摘要]目的探究丙戊酸(VPA)、拉莫三嗪(LTG)和左乙拉西坦(LEV)单一药物治疗对成年癫痫患者体内细胞铁死亡的影响。方法选择 2022年12月—2024年9月就诊于青岛大学附属医院神经内科的癫痫患者95例作为癫痫组,并根据用药种类分为...
孕晚期室内尘螨水平对母婴围生期血液中Th2 相关因子水平的影响
[摘要]目的探究孕晚期室内尘螨水平对母婴血液中Th2相关因子水平的影响。方法选择于我院孕检并于2023年7月—2024年6月足月顺产单胎的78例健康产妇及其婴儿作为研究对象,根据产妇是否为特异性体质将产妇及婴儿分为特异性组和非特异性组,采用...
血液中炎症因子及miRNAs水平与老年下肢动脉硬化闭塞症临床分期的相关性
[摘要]目的 探讨白细胞介素(IL)-6、IL-8、基质金属蛋白酶组织抑制因子-1(TIMP-1)以及miRNA-128、miRNA-381 与老年下肢动脉硬化闭塞症(lower extremity atherosclerotic oclu...
婴儿新型冠状病毒感染性肺炎30例临床分析
[摘要]目的探讨婴儿新型冠状病毒感染性肺炎(简称新冠肺炎)的临床及影像学特征。方法回顾性分析2022年9月—2023年3月于我医院收治的30例新冠肺炎和60例社区获得性肺炎(CAP)婴儿的临床资料。结果新冠组和CAP组患儿的发热时间及发热、...
多囊肝病患者临床病理特征及基因变异分析
[摘要]目的分析多囊肝病(polycystic liver disease,PLD)患者的临床病理学特征及基因突变特征。方法回顾性分析2019年4月—2023年12月就诊我院肝脏移植科的12例PLD患者的临床资料,分析其临床及组织学特点,并...
基于超效率EBM模型和Malmquist指数的青岛市公立综合医院医疗服务效率评价
[摘要]目的分析青岛市公立综合医院医疗服务效率情况与变动趋势,为医院提高医疗服务效率提供参考。方法采用数据包络分析(DEA)法的超效率 EBM模型和 Malmquist指数对 2019—2023年青岛市公立综合医院的医疗服务效率进行静态和动...

综述

人工智能在癫痫精准诊疗中的应用
[摘要]癫痫是全球范围内常见的严重神经系统疾病之一,临床上对于癫痫精准诊疗的要求逐渐提高。近年来,人工智能在医疗领域的应用越来越广泛。研究表明,人工智能在癫痫精准诊疗中发挥着重要的辅助作用,并且具有广阔的应用前景。本文主要从神经影像学、脑电...

病例报告

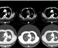
肺鳞状细胞癌合并多系统免疫相关不良反应1例
患者,男,69岁,因“刺激性干咳、咳血2月"于2021年2月25日初诊于我院。行胸部增强CT检查提示左肺上叶有一团块影,约为5.5cm×5.0cm×4.3cm 大小,不均匀强化,与左肺动脉干关系紧密,左肺上叶舌...
相关杂志
订阅全年后,您可享受以下权益
①该本杂志即日起至未来1年内所有更新电子版杂志的使用权限;
②赠送该杂志的部分往期的杂志的使用权限,有效期1年。

全年订购价格: ¥72.00

订阅全年
--%>

登录龙源期刊网

温馨提示:

1.点击网站右上角的“充值”按钮可以为您的账号充值

2.充值金额可以选择30,50,100或500元

3.充值成功后即可购买网站上的任意杂志或文章

还没有龙源账户? 立即注册

购买杂志

精准医学杂志

杂志价格:¥12.00元

  • 微信扫码支付
  • 当前余额:100.00

购买杂志

精准医学杂志

杂志价格:¥12.00元

  • 微信扫码支付
  • 当前余额:¥100.00

    去充值
monitor
客服机器人