注册帐号丨忘记密码?
1.点击网站首页右上角的“充值”按钮可以为您的帐号充值
2.可选择不同档位的充值金额,充值后按篇按本计费
3.充值成功后即可购买网站上的任意文章或杂志的电子版
4.购买后文章、杂志可在个人中心的订阅/零买找到
5.登陆后可阅读免费专区的精彩内容
打开文本图片集
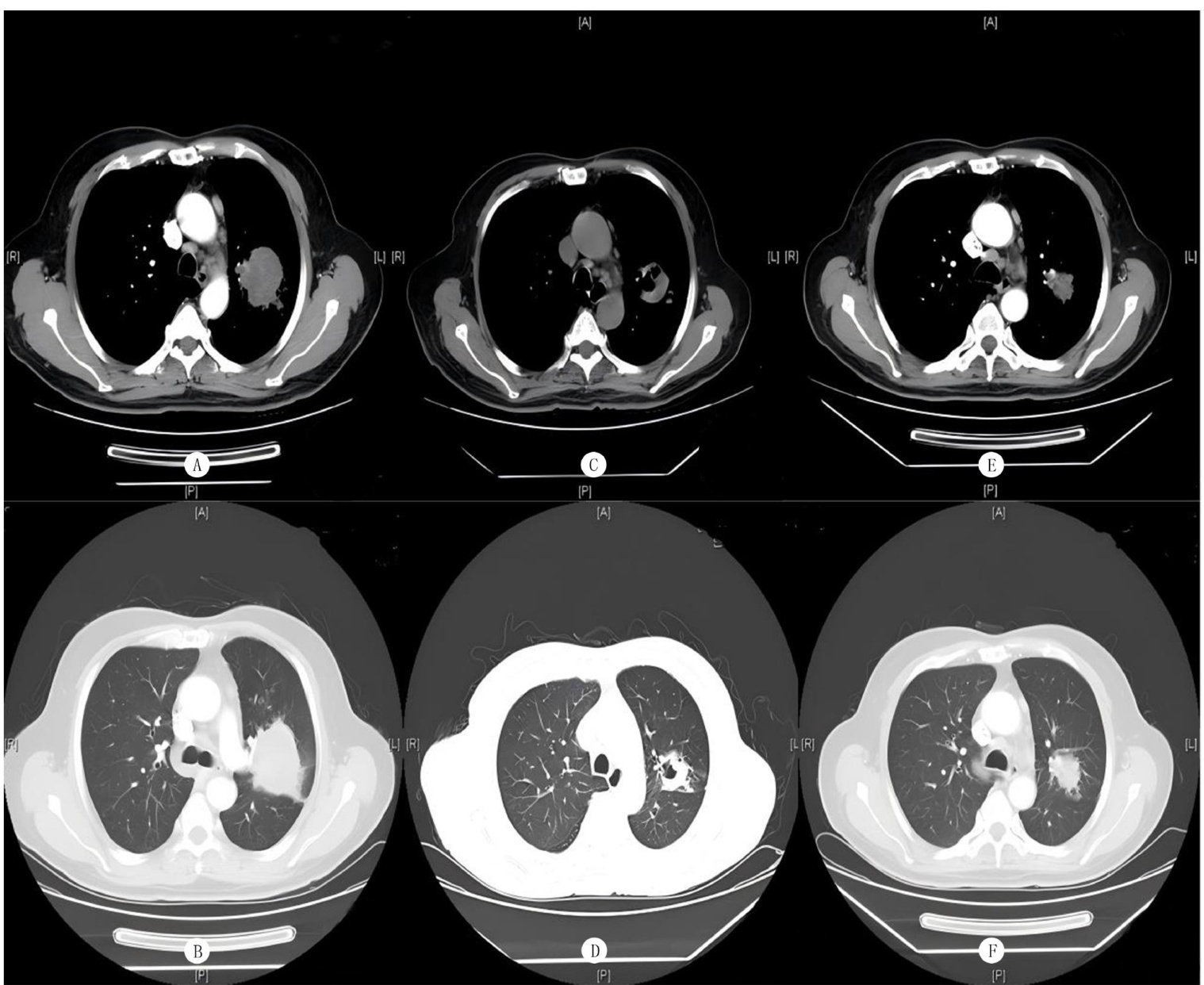
患者,男,69岁,因“刺激性干咳、咳血2月"于2021年2月25日初诊于我院。行胸部增强CT检查提示左肺上叶有一团块影,约为5.5cm×5.0cm×4.3cm 大小,不均匀强化,与左肺动脉干关系紧密,左肺上叶舌段堵塞性不张;同时多发纵隔淋巴结肿大(图1A、B)。PET-CT检查提示左肺上叶占位, SUVmax 约7.6;主动脉弓旁多个淋巴结肿大, SUVmax 约2.7。(剩余4395字)
登录龙源期刊网
购买文章
肺鳞状细胞癌合并多系统免疫相关不良反应1例
文章价格:4.00元
当前余额:100.00
阅读
您目前是文章会员,阅读数共:0篇
剩余阅读数:0篇
阅读有效期:0001-1-1 0:00:00