注册帐号丨忘记密码?
1.点击网站首页右上角的“充值”按钮可以为您的帐号充值
2.可选择不同档位的充值金额,充值后按篇按本计费
3.充值成功后即可购买网站上的任意文章或杂志的电子版
4.购买后文章、杂志可在个人中心的订阅/零买找到
5.登陆后可阅读免费专区的精彩内容
打开文本图片集
[中图分类号] R781 [文献标志码] B [doi] 10.7518/hxkq.2025.2024395
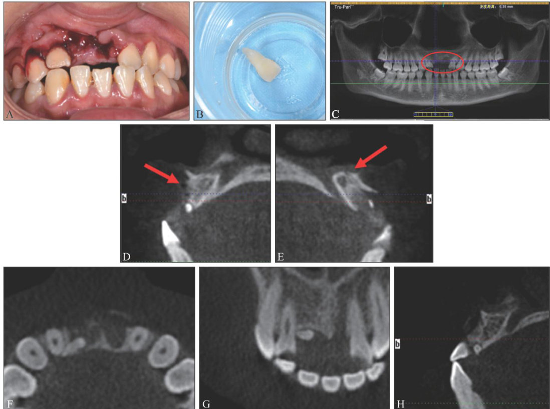
[摘要]牙外伤是口腔临床工作中较为常见的急症之一,发病率高,上颌中切牙最易受累。本文报告1例17岁女性患者,因外伤导致11、21牙完全脱位,21牙脱位后遗失,11牙因唇侧牙槽骨壁缺如导致再植术预后差,因此将11牙体外根管治疗后再植于条件较好的21牙牙槽窝内,并行弹性夹板固定。(剩余9348字)
登录龙源期刊网
购买文章
上颌中切牙完全脱位后异位牙再植及延期种植修复1例
文章价格:5.00元
当前余额:100.00
阅读
您目前是文章会员,阅读数共:0篇
剩余阅读数:0篇
阅读有效期:0001-1-1 0:00:00