年轻恒牙复杂冠根折伴根折树脂短桩固位行断冠再粘接1例

打开文本图片集
[中图分类号] R788[文献标志码]A [doi] 10.7518/hxkq.2025.2024458
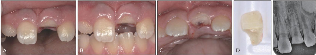
[Abstract]Thisreportpresentsacaseofa9-year-oldchildwithacomplicated crown-rootfractureof themaxillary central incisor,ccompanied witharootfracture.The treatmentstrategy was minimallyinvasive,focusingonvitalpulp preservation,rootfracturerecoveryandcrownrestoration.Thefracturedcrown wasreattachedusingresinshortposts to enhanceretention,resultinginaestheticandfunctionalrestorationoftheanterior teeth.A2-yearfollow-uprevealedfavorable clinical and radiographic outcomes.
[Key words]complicated crown-root fracture;root fracture;fragment reatachment;minimally invasive treatment;young permanent teeth
复杂冠根折是一类累及患牙釉质、牙本质、牙髓、牙骨质及牙周软组织的外伤,因受力方式不同可表现为深达龈下的斜折、纵折、粉碎性折等,多发生于上颌中切牙,可影响患者心理和生理健康,治疗难度较高。(剩余7826字)