青少年DICER1突变阳性的复发性滤泡亚型甲状腺乳头状癌1例报告及文献复习

打开文本图片集
[中图分类号] R736.1 [文献标志码] B
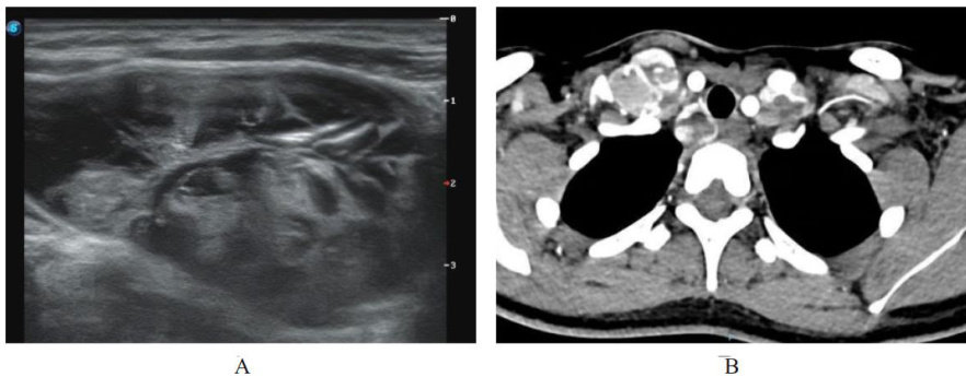
ABSTRACTFollcular variant papillary thyroid carcinoma (FVPTC) is commonly found in young middle-aged women, cases in children adolescents are relatively rare.The main driving genes FVPTC are the RAS oncogene family or B-Raf proto-oncogene serine/threonine protein kinase (BRAF) , DICERl gene mutation is rarely reported in this subtype.This article reports a case recurrentFVPTC with positive DICER1 mutation in an adolescent,aiming to provide reference for the clinical diagnosis treatment FVPTC.The patient,a 19-year-old female,underwent total thyroidectomy central lymph node dissection due to thyroid nodules 5 years ago, was pathologically diagnosed with follcular tumor uncertain malignant potential (FT-UMP);after surgery,the patients did not regularly undergo thyroid-stimulating hormone (TSH) suppression therapy follow-up as instructed. Two months ago,the patient visited the hospitaldue to enlarged cervical lymph nodes,imaging suggested tumorrecurrence with metastases to both lungs vertebrae, multigene testing indicated a DICER1 gene mutation. After comprehensive multidisciplinary consultation,bilateral cervical lymph node dissection was performed, postoperative pathology confirmed the diagnosis metastatic FVPTC. Te clinicans should focus on rare gene mutations such as DICER1 in the FVPTC patients, for adolescent patients,follow-up formulation individualized treatment plans should be emphasized to achieve early tumor identification precise intervention, improve the long-term prognosis patients.
KEYWORDsFollicular variant papillary thyroid carcinoma;1 DICER1 gene; Multidisciplinaryconsultation; Adolescent; Case report
滤泡亚型甲状腺乳头状癌(follicularvariantpapillarythyroidcarcinoma,FVPTC)好发于中青年女性,在儿童及青少年中相对罕见,相关临床资料较为有限[。(剩余10651字)