局限期小细胞肺癌并发尿毒症患者化疗疗效及血药浓度变化 1例报告及文献复习

打开文本图片集
[中图分类号] R734.2 [文献标志码] B
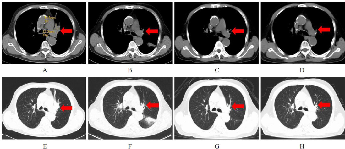
ABSTRACTLimited-stage small cell lung cancer (SCLC) is a highly malignant and rapidly progressing neuroendocrine tumor,while uremia is a complication of the end-stage of chronic renal failure. The patients with SCLC complicated with uremia have poor treatment tolerance,limited options for anti-tumor treatment regimens,and great dificulty in diagnosis and treatment. This study analyzed one case of a 69-year-old male patient with limited-stage SCLC complicated with uremia (with a history of regular hemodialysis,3 times per week),to discuss his first-line treatment regimen,eficacy,and the impact of hemodialysis on the plasma concentrations of the anti-tumor drugs,and reviewed the relevant literature to provide a reference for the treatment of similar patients. The patient was admitted to the hospital due to “cough and hemoptysis for half a month” and was diagnosed with limited-stage SCLC stage IIIA (T2aN2MO) by computed tomography (CT) and lung puncture biopsy. After discussion by the multidisciplinary treatment(MDT) team,the patient received 6 cycles of Etoposide(VP-16) + carboplatin chemotherapy combined with adebrelimab immunotherapy,follwed by sequential adebrelimab maintenance therapy. The efficacy was evaluated as partial response(PR)and the response is ongoing. During the treatment,level 4 hemoglobin decrease,level 3 neutropenia,and level 2 leukopenia occurred,which were alleviated after symptomatic treatment. The blood concentration monitoring results showed that the plasma concentrations of etoposide and carboplatin increased rapidly during drug infusion,and gradually decreased after the end of infusion.Hemodialysis could rapidly reduce the plasma concentration of carboplatin,but had no significant effect on the plasma concentration of etoposide. Therefore,the immunotherapy combined with reduced-dose chemotherapy regimen is safe and efective for this type of patient.Plasma drug concentration monitoring can be used to observe drug metabolism, but the optimal monitoring time points and clinical value need further study and validation.
KEYWORDS Small cell lung cancer;Uremia;Hemodialysis;Blood concentration;Chemotherapy; Therapeutic effect
小细胞肺癌(small cell lung cancer,SCLC)是一种恶性程度较高的肺癌亚型,其病例数占全部肺癌的 13%~17% ,通常需要采用手术、化学治疗(化疗)、放射治疗(放疗)和免疫治疗在内的综合治疗[1]。(剩余11949字)