阿达木单抗联合托法替布治疗复发性坏疽性脓皮病1例报告及文献复习

打开文本图片集
[中图分类号] R758.6 [文献标志码] B
Recurrent pyoderma gangrenosum treated with adalimumab combined with tofacitinib: A case report and literature review
GUANMengqi,LANG Yue,TIANYaping,LIShanshan,WANG Yuanyuan (DepartmentofDermatologyand Venereology,FirstHospital,Jilin University,Changchunl3Oo21,China)
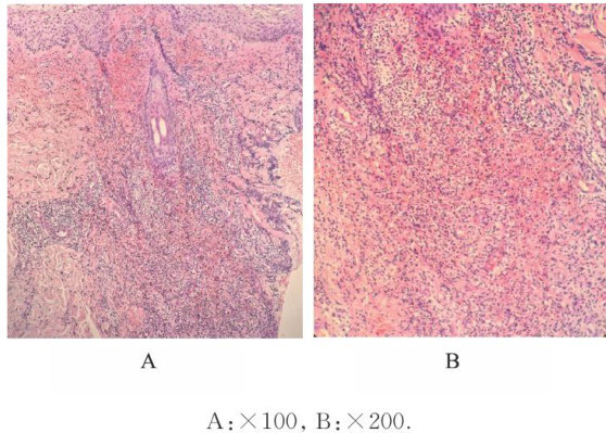
ABSTRACT Pyoderma gangrenosum (PG) is a rare autoinflammatory disease,characterized mainly by painful and necrotic skin ulcers.The etiology of PG is unknown,and its treatment is quite challenging. This article reports a case of recurrent pyoderma gangrenosum successfully treated with adalimumab combined with tofacitinib,along with a review of relevant literature.The patient,a 54-year-old male, presented with scrotal ulcers accompanied by pain for 2O days,worsening and involving the groin area for 5 days,and fever for1 day. Dermatological examination revealed two painful ulcers on the scrotum with raised edges,clear boundaries,and a small amount of purulent discharge on the surface;the right groin area andthe medial left thigh showed irregular infiltrative erythematous plaques,with scattered clustered pustuleson them,central necrosis appearing purplish-brown,surrounded by ared halo with clear boundaries.Based on the patient’s past medical history,clinical manifestations,and auxiliary examinations, the diagnosis was consistent with pyoderma gangrenosum.After treatment with adalimumab combined with tofacitinib,thepatient’ssymptoms were significantly improved,andtheulcers healed.Atthe6-month follow-up,the skin lesions hadnot recurred.Forrefractory PG that isineffectiveto conventional treatments,adalimumab combined with tofacitinib is an effective and safe treatment option,providing a new combination therapy regimen for PG.
KEYWORDsPyoderma gangrenosum;Adalimumab;Tofacitinib;Biological agent;Janus kinase inhibitor
坏疽性脓皮病(pyoderma gangrenosum,PG)是一种罕见的慢性炎症性皮肤病,其典型临床表现为快速进展的疼痛性皮肤溃疡一溃疡边缘呈紫红色、具有潜行性,周围绕以特征性红斑[1。(剩余12155字)