注册帐号丨忘记密码?
1.点击网站首页右上角的“充值”按钮可以为您的帐号充值
2.可选择不同档位的充值金额,充值后按篇按本计费
3.充值成功后即可购买网站上的任意文章或杂志的电子版
4.购买后文章、杂志可在个人中心的订阅/零买找到
5.登陆后可阅读免费专区的精彩内容
打开文本图片集
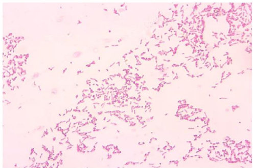
弗氏柠檬酸杆菌隶属于肠杆菌科枸橡酸杆菌属,为该属的代表种,常与动物和人的感染有关。该菌为革兰氏阴性短杆菌,需氧或兼性厌氧,广泛存在于水体及土壤中2,是人和动物(哺乳类、鸟类、爬行类及两栖类)肠道内正常的菌群,属于机会致病菌3,致病性弗氏柠檬酸杆菌可引起动物和人腹泻、肺炎、败血症及食物中毒等症状,是一种典型的人一畜一鱼共患条件性致病菌,某些毒力很强的菌株可引发人和动物脑膜炎、脑脓肿等[4]。(剩余2618字)
登录龙源期刊网
购买文章
丹顶鹤源弗氏柠檬酸杆菌的分离鉴定及药敏结果分析
文章价格:3.00元
当前余额:100.00
阅读
您目前是文章会员,阅读数共:0篇
剩余阅读数:0篇
阅读有效期:0001-1-1 0:00:00