右江医学

右江医学

2025年12期
  • 收藏
收藏成功
微博 空间 微信
《右江医学》杂志创刊于1972年,广西壮族自治区卫生厅主管,右江民族医学院附属医院主办。本刊宣传党的卫生工作方针和政策,...     展开

类型

月刊

类别

学术
定价
促销信息
全年订阅更优惠!
¥10.00 ¥6.00
目录

专家论坛

三种新型复合炎症标志物与骨质疏松症及骨折的研究进展
[专家介绍],一级主任医师,教授,医学博士,医学与伦理学双博士后,博士研究生导师、博士后合作导师,研究方向:老年内分泌与代谢病学、老年重大慢病防治与管理。擅长糖尿病及并发症、甲状腺疾病、痛风和高尿酸血症等内分泌疾病的临床诊治。现任湖南省老年...

论著·基础研究

PFKFB成员在泛癌的表达及其与肿瘤免疫和药物敏感性分析
【摘要】目的探讨果糖-2,6-二磷酸酶(PFKFB)对肿瘤的免疫和药物敏感性调节作用,分析PFKFB家族成员的基因表达、免疫亚型和药物敏感性,为癌症治疗靶点提供新的知识。方法从癌症基因组图谱(TCGA)下载了33种癌症的数据,包括RNA 测...
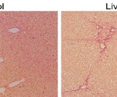
肝纤维化小鼠原代肝细胞的分离培养
【摘要】目的建立一种能稳定获得高活力、高纯度肝纤维化小鼠原代肝细胞的分离及纯化方法。方法对经典的两步胶原酶灌流法进行改进,采用下腔静脉灌流、间断夹闭门静脉灌注、肝细胞悬液进行 50% Percoll密度梯度离心纯化。体外培养纯化的肝细胞,并...

论著·临床研究

PIVKA-II、AFP、RPR联合应用在乙肝病毒相关性肝细胞癌中的早期诊断价值
【摘要】目的探讨异常凝血酶原(PIVKA-ⅡI)、甲胎蛋白(AFP)、红细胞分布宽度与血小板比值(RPR)联合应用在乙肝病毒相关性肝细胞癌(HBV-HCC)中的早期诊断价值。方法选取贵港市人民医院 2022年7月至2023年3月收治的HBV...
多模态超声技术在卵圆孔未闭诊断中的应用效果评估
【摘要】目的探讨多模态超声技术[经胸超声心动图(TTE)、经胸超声心动图右心声学造影(c-TTE)、对比增强经颅多普勒超声(c-TCD)及 ρc -TTE联合 σc -TCD检查]在卵圆孔未闭(PFO)及右向左分流(RLS)诊断中的应用效果...
疑难配血患者红细胞输注无效的影响因素及预测模型的构建
【摘要】目的分析影响疑难配血患者输注红细胞效果的因素,并构建其预测模型。方法回顾性分析钦州市第一人民医院收治的105例疑难配血患者的病例资料,根据患者输注红细胞的疗效分为有效组(55例)和无效组(50例),通过单因素分析两组患者的一般资料、...
51例新生儿流行性感冒的临床特征分析
【摘要】目的探讨住院新生儿流行性感冒(简称流感)的临床特点和诊疗情况。方法收集2018年10月至2025年3月郑州市妇幼保健院51例住院流感新生儿的临床资料进行回顾性分析。结果51例流感新生儿中甲型流感(简称甲流)32例,乙型流感(简称乙流...
MSCT征象术前预测透明细胞肾细胞癌WHO/ISUP病理分级的可行性研究
【摘要】目的探讨多层螺旋CT(MSCT)征象术前预测透明细胞肾细胞癌(ccRCC)WHO/ISUP 病理分级的价值。方法回顾性收集经手术后病理组织学确诊为ccRCC的68例患者,患者术前均行腹部CT平扫 + 三期增强扫描,根据WHO/ISU...

论著·流行病学

2019—2024年融水苗族自治县手足口病流行特征分析及发病趋势预测
【摘要】目的探讨 2019—2024年融水苗族自治县手足口病的流行特点及发病趋势,旨在为当地手足口病的预防与控制工作提供参考依据。方法收集 2019—2024年融水苗族自治县手足口病的发病数据,运用描述性流行病学方法对融水苗族自治县手足口病...

论著·调查研究

广西地区放射科护士辐射防护知识认知现状及其影响因素研究
【摘要】目的调查广西地区放射科护士辐射防护知识的认知情况及其影响因素,分析其培训需求,为制订有效的培训策略提供依据。方法2024年6月至8月选取广西护理学会成员单位的226名放射科护士为研究对象,采用自行编制的辐射防护知识量表进行调查,分析...

医学综述

分子诊断技术在泌尿系结核早期检测中的应用研究现状
【关键词】分子诊断技术;泌尿系结核;早期检测;诊断效能;临床应用 中图分类号:R527:R446 文献标志码:A DOI:10. 3969/j. issn.1003-1383.2025.12.011 泌尿系结核(urinarytubercu...
血清标志物预测急性胰腺炎严重程度的研究进展
【关键词】急性胰腺炎;血清标志物;严重程度预测;动态监测;联合评估模型 中图分类号: R657.5+1 文献标志码:A DOI:10.3969/j.issn.1003-1383.2025.12.012 急性胰腺炎(acutepancreat...
儿童青少年精神心理障碍患者自我效能感的研究进展
中图分类号:R749.94 文献标志码:A DOI:10.3969/j.issn.1003-1383.2025.12.013 精神心理障碍是指一系列因大脑功能失调而导致的认知、情感、意志和行为等方面的异常疾病[1-2]随着社会经济的迅速发展...

病例报道

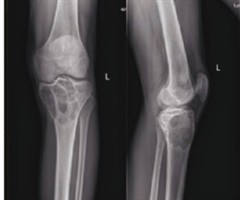
胫骨近端骨巨细胞瘤合并动脉瘤样骨囊肿1例并文献复习
中图分类号:R738.1 文献标志码:B DOI:10.3969/j.issn.1003-1383.2025.12.014 骨巨细胞瘤(giantcell tumorofbone,GCT)为低度恶性或潜在恶性的肿瘤,由Jaffe于1940年...

医学教育

片剂制备技术视角下的高职药物制剂技术课程教学改革实践
中图分类号:G712;R94 文献标志码:B DOI:10.3969/j.issn.1003-1383.2025.12.015 在制药行业中,标准化操作、实践能力和创新思维显得尤为重要。药物制剂技术是高职药学专业的关键课程,旨在与药品生产企...
相关杂志
  • 中国商论

    中国商论

    2026年03期
    ¥17.49
  • 中外建筑

    中外建筑

    2025年12期
    ¥9.90
  • 河南科技

    河南科技

    2026年02期
    ¥6.00
  • 海洋开发与管理

    海洋开发与管理

    2025年10期
    ¥21.69
  • 计算机应用文摘

    计算机应用文摘

    2026年04期
    ¥9.00
  • 社会科学研究

    社会科学研究

    2026年01期
    ¥9.00
  • 现代信息科技

    现代信息科技

    2026年02期
    ¥18.00
  • 湖南大学学报(社会科学版)

    湖南大学学报(社会科学版)

    2025年06期
    ¥12.00
  • 计算技术与自动化

    计算技术与自动化

    2025年04期
    ¥10.89
  • 民主与科学

    民主与科学

    2025年06期
    ¥3.39
  • 中国调味品

    中国调味品

    2026年01期
    ¥0.00
  • 智能计算机与应用

    智能计算机与应用

    2026年01期
    ¥9.00
订阅全年后,您可享受以下权益
①该本杂志即日起至未来1年内所有更新电子版杂志的使用权限;
②赠送该杂志的部分往期的杂志的使用权限,有效期1年。

全年订购价格: ¥72.00

订阅全年
--%>

登录龙源期刊网

温馨提示:

1.点击网站右上角的“充值”按钮可以为您的账号充值

2.充值金额可以选择30,50,100或500元

3.充值成功后即可购买网站上的任意杂志或文章

还没有龙源账户? 立即注册

购买杂志

右江医学

杂志价格:¥6.00元

  • 微信扫码支付
  • 当前余额:100.00

购买杂志

右江医学

杂志价格:¥6.00元

  • 微信扫码支付
  • 当前余额:¥100.00

    去充值
monitor
客服机器人