注册帐号丨忘记密码?
1.点击网站首页右上角的“充值”按钮可以为您的帐号充值
2.可选择不同档位的充值金额,充值后按篇按本计费
3.充值成功后即可购买网站上的任意文章或杂志的电子版
4.购买后文章、杂志可在个人中心的订阅/零买找到
5.登陆后可阅读免费专区的精彩内容
打开文本图片集
[中图分类号] R737.33 [文献标志码] B
ABSTRACT Atypical lipomatous tumor (ALT) is a rare soft tissue sarcoma originating from adipocytic tissue.The clinical manif(剩余11324字)
登录龙源期刊网
购买文章
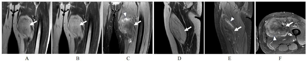
左下肢非典型脂肪瘤样肿瘤1例报告及文献复习
文章价格:6.00元
当前余额:100.00
阅读
您目前是文章会员,阅读数共:0篇
剩余阅读数:0篇
阅读有效期:0001/1/1 0:00:00