中西医结合心脑血管病杂志

中西医结合心脑血管病杂志

2024年04期
  • 收藏
收藏成功
微博 空间 微信
《中西医结合心脑血管病杂志》创刊于2003年1月,山西省卫生和计划生育委员会主管,山西医科大学第一医院与中国中西医结合学...     展开

类型

半月刊

类别

学术
定价
促销信息
全年订阅更优惠!
¥12.00 ¥4.00
目录

论坛

益气活血法治疗中风的溯源与发展及新安医家的贡献
摘要中风作为四大顽症之一,在《内经》首次提出后,便引起了历代医家的重视。以益气活血法为原则治疗中风,历来被认为是由清代医家王清任首次提出。但在近来研究中发现,益气活血法萌芽于《内经》,并未广泛运用于中风治疗。隋唐时期有医家提出从气血论治中风...

临床医学论著

基于网络药理学和分子对接探讨丹参治疗冠心病和脑卒中的“异病同治”作用机制研究
摘要 目的:基于网络药理学及分子对接方法探讨丹参有效成分治疗冠心病和脑卒中“异病同治”的作用机制及关键靶点。方法:通过中药系统药理学数据库和分析平台(TCMSP)、在线人类孟德尔遗传数据库(OMIM)、DrugBank等数据库筛选丹参治疗冠...
不同NYHA心功能分级心力衰竭病人中医证候、证素演变规律的文献分析
摘要 目的:通过分析心力衰竭的中医临床研究文献,总结不同纽约心脏病协会(NYHA)心功能分级心力衰竭病人的中医证型、证素演变规律。方法:以中国知网数据库(CNKI)、万方数据库、维普中文期刊数据库(VIP)、PubMed、Web of Sc...
基于网络药理学及分子对接探讨润肝养心方治疗心脏神经症的分子机制
摘要 目的:基于网络药理学和分子对接方法探讨润肝养心方治疗心脏神经症(CN)的物质基础和作用机制。方法:通过中药系统药理学数据库与分析平台(TCMSP)、有机小分子生物活性数据库(PubChem)、Swiss Target Predicti...
疏血通注射液联合阿替普酶静脉溶栓治疗急性脑梗死疗效与安全性的Meta分析
摘要 目的:系统评价疏血通注射液联合阿替普酶(rt-PA)静脉溶栓对急性脑梗死病人临床总有效率、神经功能损伤、日常生活能力、血流变、炎性因子的影响。方法:计算机检索中国期刊全文数据库(CNKI)、维普数据库(VIP)、万方数据库、中国生物医...
基于CiteSpace和VOSviewer脑出血自噬研究的可视化分析
摘要 目的:对脑出血自噬的文献进行可视化解读和分析,探讨脑出血自噬研究动态和趋势。方法:检索1991年1月1日—2022年12月1日中国知网发表的脑出血自噬研究的相关文献。采用CiteSpace和VOSviewer软件分析检索获得文献的作者...
王晓峰教授治疗慢性心力衰竭用药规律探析
摘要 目的:采用SPSS 25.0和IBM SPSS Modeler 18.0软件分析王晓峰教授治疗慢性心力衰竭的用药规律。方法:收集整理2018年1月1日—2018年12月31日新疆维吾尔自治区中医医院王晓峰教授门诊诊治的慢性心力衰竭病人...

基础医学论著/研究

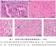
三黄一龙汤对佐剂性关节炎继发心血管病变大鼠血管紧张素Ⅱ、醛固酮及相关炎性因子的影响
摘要 目的:探讨三黄一龙汤对佐剂性关节炎大鼠心脏的病理组织学、肾素-血管紧张素-醛固酮系统(RAAS)效应因子血管紧张素Ⅱ(AngⅡ)、醛固酮(ALD)和炎性因子肿瘤坏死因子-α(TNF-α)、白细胞介素-6(IL-6)表达的影响,探讨三黄...
丹曲林对心房颤动大鼠心肌纤维化及TGF-β1/Smad2信号通路的影响
摘要 目的:探讨丹曲林对心房颤动大鼠心肌纤维化及转化生长因子-β1(TGF-β1)/Smad2信号通路的影响。方法:72只SD大鼠采用随机数字表法分为空白对照组、模型组、丹曲林低剂量组、丹曲林高剂量组、阳性对照组、丹曲林高剂量+SRI-01...
异氟醚通过BMP4/Smad信号通路对自发性高血压大鼠脑损伤的作用机制研究
摘要 目的:探究异氟醚通过调节骨发生形态蛋白4(BMP4)及其下游Smad蛋白对自发性高血压大鼠(SHR)脑损伤的作用机制。方法:采用随机数字表法将48只SHR分为模型组、异氟醚组、阳性药物组、异氟醚+LDN193189组,健康大鼠作为健康...
基于Nrf2-GPX4铁死亡途径探讨芒果苷对大鼠心肌缺血再灌注损伤的作用机制
摘要 目的:探讨芒果苷对大鼠心肌缺血再灌注损伤(MIRI)的保护机制。方法:60只无特定病原体(SPF)级健康雄性SD大鼠随机分为假手术组、MIRI组、芒果苷低剂量组、芒果苷高剂量组、芒果苷+核因子E2相关因子2(Nrf2)抑制剂(ML38...
lncRNA NEAT1调节miR-424-5p/ELK4轴对ox-LDL诱导的血管内皮细胞损伤、Lp-PLA2和CRP水平的影响
摘要 目的:探讨长链非编码RNA核旁斑组装转录本1(lncRNA NEAT1)在氧化型低密度脂蛋白(ox-LDL)诱导的血管内皮细胞损伤中的分子机制和功能。方法:收集健康人和动脉粥样硬化(AS)病人血液标本并通过实时荧光定量逆转录聚合酶链式...
上调lncRNA MEG3对大鼠心肌细胞系缺氧/复氧损伤的影响
摘要 目的:探究长链非编码RNA(lncRNA)母系表达基因3(MEG3)对大鼠心肌H9c2细胞缺氧/复氧(H/R)的保护作用及其与核因子E2相关因子2(Nrf2)/抗氧化反应元件(ARE)通路的关系。方法:将H9c2细胞分为Control...

综述与进展

射血分数中间值的心力衰竭研究进展
摘要射血分数中间值的心力衰竭(HFmrEF)为左室射血分数(LVEF)为40%~49%的心力衰竭,HFmrEF病人在射血分数降低的心力衰竭的治疗方案中同样获益。本研究结合当前HFmrEF人群的临床试验和机制研究结果,从流行病学、临床特征、病...
心肌梗死后心力衰竭应用抗血小板聚集药物的展望
摘要 综述心肌梗死后心力衰竭抗血小板聚集药物的应用。长期的心肌损伤会导致心脏缺血、缺氧、心肌变性和纤维化,最终可导致心力衰竭。虽然抗心力衰竭手术治疗取得了突破性进展,但药物治疗仍是抗心力衰竭的基础。 关键词心肌梗死;心力衰竭;血小板;药物治...
基于血脑屏障探索活血化瘀药减少静脉溶栓后出血转化的研究进展
摘要 综述活血化瘀药与组织型纤溶酶原激活剂(t-PA)联合使用后减少出血转化的研究进展。活血化瘀药单药有效成分(丹参多酚酸、丹参酮ⅡA、红景天苷、三七皂苷、银杏叶提取物等)、现代制剂(丹红注射液、川芎嗪注射液、银杏内酯注射液、脑心通胶囊)、...
三酰甘油-葡萄糖指数与2型糖尿病及其并发症的关系研究进展
摘要 综述三酰甘油-葡萄糖(TyG)指数与2型糖尿病(T2DM)及其并发症的关系。胰岛素抵抗(IR)是T2DM的主要发病机制,早期识别IR对于预测及预防T2DM的发病、延缓疾病进展具有重要意义。TyG指数可作为IR的替代指标,且其与T2DM...

心血管病临床观察/研究

心脏起搏后QRS波时限与心功能的相关性研究
摘要 目的:研究植入双腔起搏器后病人心电图QRS波时限与心功能的相关性,分析起搏器植入后心脏结构的远期改变。方法:选取2011年11月—2020年1月于山西白求恩医院门诊复查起搏器的398例病人。采用病人自身对照的模式,对病人术前及术后各个...
左束支区域起搏对需心室起搏病人左室功能、起搏器程控参数的影响
摘要 目的:探究左束支区域起搏(LBBAP)对需心室起搏病人左心室功能、起搏器程控参数的影响。方法:选取2020年4月—2021年3月于我院需心室起搏的病人100例,随机分为对照组和研究组,每组50例。对照组予以右室低位间隔部起搏,研究组予...
黄芪桂枝五物汤对急性心肌梗死病人心室重塑及血清miR-21、miR-126水平的影响
摘要 目的:探讨黄芪桂枝五物汤对急性心肌梗死病人心室重塑及血清miR-21、miR-126水平的影响。方法:选取2021年2月—2022年7月于青岛大学医学院附属青岛市中心医院就诊的116例急性心肌梗死病人作为研究对象,采用随机数字表法分为...
ApoB、ApoA1、ApoA1/ApoB与急性心肌梗死病人CABG术后主要心血管不良事件的相关性
摘要 目的:回顾调查分析载脂蛋白(Apo)B、ApoA1、ApoA1/ApoB与急性心肌梗死(AMI)病人冠状动脉搭桥术(CABG)后主要心血管不良事件(MACE)的关系。方法:连续选取2015年1月—2020年1月因急性心肌梗死就诊于潍坊...
非体外循环冠状动脉旁路移植术联合手术室强化干预冠心病的疗效观察
摘要 目的:分析非体外循环冠状动脉旁路移植术(OPCAB)联合手术室强化干预冠心病病人的疗效。方法:选取2020年11月—2021年10月南京医科大学与第一附属医院收治的冠心病病人120例作为研究对象。按照是否进行体外循环分为体外循环冠状动...
慢性阻塞性肺疾病致肺动脉高压右心衰竭病人血清IL-6和TNF-α水平表达及临床意义
摘要 目的:探讨慢性阻塞性肺疾病(COPD)致肺动脉高压右心衰竭病人白细胞介素6(IL-6)和肿瘤坏死因子α(TNF-α)水平表达及意义。方法:选取2017年7月—2020年3月于中国中医科学院西苑医院就诊的COPD病人442例作为研究对象...
基于限制性立方样条图分析焦虑与青年急性心肌梗死的关系
摘要目的:探讨焦虑与青年急性心肌梗死(AMI)的关系。方法:选取2021年1月—2023年2月就诊于安徽医科大学第二附属医院的青年AMI病人40例作为病例组,选取同期于安徽医科大学第二附属医院住院的青年非心源性胸痛病人,冠状动脉造影或冠状动...
基于数据挖掘的周亚滨教授治疗高血压病用药特点研究
摘要目的:通过对周亚滨教授治疗高血压病的用药统计,以进一步总结周亚滨教授治疗高血压的用药规律。方法:收集2017年9月1日—2019年8月30日经周亚滨教授诊治的高血压病人完整而有效的门诊病历资料106份,采用Excel软件及SPSS 24...
MPO水平与冠心病合并2型糖尿病病人冠状动脉病变程度的相关性
摘要 目的:探讨冠心病(CHD)合并2型糖尿病(T2DM)病人血浆髓过氧化物酶(MPO)水平与冠状动脉病变严重程度的相关性。方法:选取2020年1月—2021年10月于山西医科大学附属汾阳医院因胸痛或胸闷症状住院并首次行冠状动脉造影(CAG...
定量CT-MPI检查在冠状动脉CTO病人心肌灌注及侧支循环评估中的应用价值
摘要 目的:探讨定量CT-心肌灌注成像(MPI)检查在冠状动脉慢性完全性闭塞(CTO)病人心肌灌注及侧支循环评估中的应用价值。方法:选取2019年1月—2021年6月我院收治的进行定量CT-MPI检查的冠状动脉CTO病人42例作为研究对象,...
冠状动脉周围脂肪密度特征与心血管病危险因素及斑块的关系
摘要 目的:探讨冠状动脉周围脂肪(PCAT)密度特征与心血管病危险因素及斑块的关系。方法:回顾性分析2021年9月—2023年1月于山西省人民医院行冠状动脉CT血管造影(CCTA)检查的门诊及住院病人,收集病人的临床及影像学资料。记录斑块性...
电针预防冠状动脉介入治疗病人桡动脉痉挛的临床研究
摘要 目的:评估电针预防冠状动脉介入治疗中桡动脉痉挛的作用及其临床应用价值。方法:选取2019年1月—8月就诊于上海中医药大学附属岳阳中西医结合医院经桡动脉行冠状动脉诊疗的病人209例作为研究对象,分为试验组(95例)和对照组(114例)。...
腹主动脉瘤病人血清线粒体衍生肽的表达及其临床意义
摘要 目的:探讨血清线粒体衍生肽(MDP)在腹主动脉瘤治疗前后的表达及其临床意义。方法:选取2017年6月—2020年6月我院收治的88例经腹主动脉CT血管造影明确诊断为腹主动脉瘤的病人作为研究对象。将肿瘤最大直径≥5 cm采取腹主动脉瘤腔...
中药汤剂治疗窦性心动过缓有效性的Meta分析
摘要 目的:系统评价中药汤剂治疗窦性心动过缓的有效性。方法:计算机检索中国知网(CNKI)、万方数据库(WanFang Data)、维普(VIP)、中国生物医学文献数据库(CBMdisc)及PubMed,获取中药汤剂治疗窦性心动过缓相关的临...

神经科疾病临床观察/研究

风痰阻络型急性缺血性脑卒中病人血脂、血凝水平与脑卒中进展的关系
摘要 目的:研究风痰阻络型急性缺血性脑卒中病人血脂、血凝水平与脑卒中进展的关系。方法:通过采集医院电子病例系统信息和电话随访的方式收集2020年1月1日—2020年12月31日于北京中医药大学东直门医院通州院区脑病科入院治疗的缺血性脑卒中病...
神经肌肉电刺激联合穴位按摩治疗脑卒中后吞咽障碍的临床观察
摘要 目的:分析神经肌肉电刺激联合穴位按摩治疗脑卒中后吞咽障碍的临床疗效。方法:选取2019年1月—2021年2月于安徽省六安市中医院就诊的脑卒中后吞咽障碍病人82例作为研究对象,采用随机数字表法分为观察组和对照组,每组41例。对照组给予神...
头颈部CTA联合血清CTRP3、ANGPTL8对短暂性脑缺血发作后继发脑梗死的预测价值
摘要 目的:探讨头颈部CT血管成像(CTA)联合血清补体C1q/肿瘤坏死因子相关蛋白3(CTRP3)、血管生成素样蛋白8(ANGPTL8)对短暂性脑缺血发作(TIA)后继发脑梗死的预测价值。方法:选取2020年6月—2022年6月于本院治疗...
拉考沙胺联合左乙拉西坦治疗局灶性癫痫患儿的疗效及对认知功能的影响
摘要 目的:探究拉考沙胺联合左乙拉西坦治疗儿童局灶性癫痫的疗效及对认知功能的影响。方法:选取2020年3月—2022年3月于本院接受治疗的50例局灶性癫痫患儿作为研究对象,随机分为对照组(25例)和联合组(25例)。对照组给予左乙拉西坦治疗...
颅内静脉窦血栓形成病人的临床特征、危险因素和预后分析
摘要 目的:对颅内静脉窦血栓形成(CVST)病人的临床特征、危险因素和预后进行分析,探讨不同性别亚组之间临床特征的差异性和影响预后的相关因素,为临床医师诊治CVST和优化决策提供参考。方法:通过山西医科大学第一医院电子信息化病历系统及数据中...

理论探索

基于肠道菌群探讨心脾同治法治疗缺血性心脏病的机制
摘要缺血性心脏病的发生发展严重影响人民的生命健康。心脾同治法,即益气活血健脾法,作为治疗缺血性心脏病的重要方法,符合缺血性心脏病气虚血瘀的本质。肠道菌群的生理功能与中医的脾脏关系密切,肠道菌群及其代谢产物影响缺血性心脏病的发生发展,心脾同治...

经验交流

益气养阴活血安神法治疗高负荷频发房性期前收缩1例
摘要 频发房性期前收缩是一种常见的心律失常,除可引起心悸、胸闷等症状外,还可触发房性心动过速、心房颤动等更为严重的心律失常。现代医学对于症状性频发房性期前收缩常采用抗心律失常药物,但部分病人效果不理想或出现副作用;射频消融治疗有创且费用较高...
基层医生对慢性心力衰竭病人管理知信行的现状调查
摘要 目的:了解基层医生对慢性心力衰竭病人管理的知、信、行现状,为基层慢性心力衰竭管理策略提供参考。方法:依据《慢性心力衰竭基层诊疗指南2019》设计调查问卷,选取山阴县二级医院心内科医生及乡镇全科医生从知识、态度及处置行为3个维度进行调查...
相关杂志
  • 中国商论

    中国商论

    2025年23期
    ¥17.49
  • 中外建筑

    中外建筑

    2025年10期
    ¥9.90
  • 河南科技

    河南科技

    2025年22期
    ¥6.00
  • 海洋开发与管理

    海洋开发与管理

    2025年07期
    ¥21.69
  • 计算机应用文摘

    计算机应用文摘

    2025年24期
    ¥9.00
  • 社会科学研究

    社会科学研究

    2025年06期
    ¥9.00
  • 现代信息科技

    现代信息科技

    2025年22期
    ¥18.00
  • 湖南大学学报(社会科学版)

    湖南大学学报(社会科学版)

    2025年06期
    ¥12.00
  • 计算技术与自动化

    计算技术与自动化

    2025年04期
    ¥10.89
  • 中国调味品

    中国调味品

    2025年12期
    ¥0.00
  • 民主与科学

    民主与科学

    2025年05期
    ¥3.39
  • 中国民族民间医药·下半月

    中国民族民间医药·下半月

    2025年11期
    ¥9.69
订阅全年后,您可享受以下权益
①该本杂志即日起至未来1年内所有更新电子版杂志的使用权限;
②赠送该杂志的部分往期的杂志的使用权限,有效期1年。

全年订购价格: ¥48.00

订阅全年
--%>

登录龙源期刊网

温馨提示:

1.点击网站右上角的“充值”按钮可以为您的账号充值

2.充值金额可以选择30,50,100或500元

3.充值成功后即可购买网站上的任意杂志或文章

还没有龙源账户? 立即注册

购买杂志

中西医结合心脑血管病杂志

杂志价格:¥4.00元

  • 微信扫码支付
  • 当前余额:100.00

购买杂志

中西医结合心脑血管病杂志

杂志价格:¥4.00元

  • 微信扫码支付
  • 当前余额:¥100.00

    去充值
monitor
客服机器人