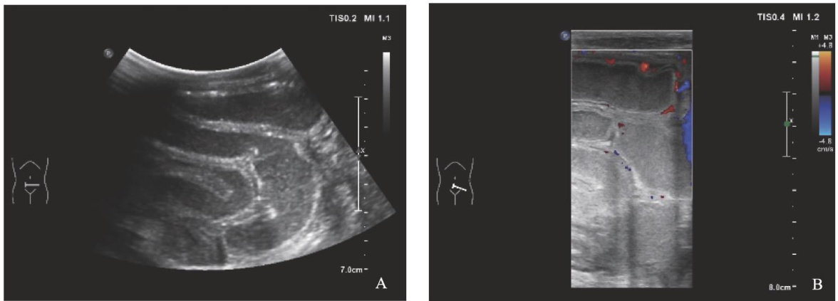
线粒体神经胃肠型脑肌病临床及肠道超声表现一例

打开文本图片集
关键词:线粒体神经胃肠型脑肌病;线粒体;肠道超声
中图分类号:R445.1 文献标识码:B 文章编号:1000-503X(2025)05-0758-04
DOI:10.3881/j.issn.1000-503X.16801
ABSTRACT:Mitochondrial neurogastrointestinal encephalomyopathy(MNGIE),a rare mitochondrial disorder caused by TYMP gene mutations,is characterized by severe gastrointestinal dysmotility,peripheral neuropathy,and leukodystrophy.Thisarticlesummarizes the clinical data and intestinal ultrasound findings of a MNGIE case,aiming to provide insights for clinical diagnosis and treatment.
KeyWords:mitochondrial neurogastrointestinal encephalomyopathy;mitochondrion;intestinal ultrasound
线粒体神经胃肠型脑肌病(mitochondrialneurogastrointestinalencephalomyopathy,MNGIE)是一种由TYMP基因突变导致的罕见常染色体隐性遗传病,以胃肠道动力障碍、周围神经病变及脑白质损害为特征[1-2],临床表现复杂多样,常因非特异性消化道症状(如慢性腹泻、假性肠梗阻)被误诊为克罗恩病或功能性胃肠病[3],导致延迟诊断及不必要的手术干预。(剩余5239字)