收缩后收缩参数联合定量血流比率预测ST段抬高型 心肌梗死患者PCI术预后的临床价值

打开文本图片集
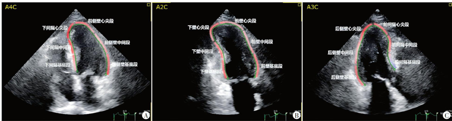
ABSTRACTObjectiveTo investigate the clinical value postsystolic shortening(PSS)parameters combined with quantitative flowratio(QFR)inpredicting the prognosis ST-segment elevation myocardialinfarction(STEMI)patientsafter percutaneous coronary intervention(PCI).MethodsAtotal104 STEMI patients whounderwentPCIinour hospital were enroled.Two-dimensionalspeckletrackingechocardiographywasperformedwithin24-48hafterPCItoobtainleftventricular PSS parameter[global postsystolic index(PSI)],earlysystolic lengthening parameter[global early systolic index(ESI)]and globalongitudinal strain(GLS).QFR wascalculated basedoncoronaryangiographyfindings.All patients were followed upfor 12-24 months and divided into the good-prognosis group( n =87) and the poor-prognosis group(n=17) according to the adverse cardiovascular events.The diferences intheabove parameters between thetwo groups were compared.Multivariate Logistic regression wasused toidentifyindependentinfluencingfactorsforpredictingtheprognosisafterPCIinSTEMIpatients,anda combined model was established.Receiveroperating characteristic(ROC)curve was drawn to analyze thediagnostic performance. ResultsCompared withthe god-prognosis group,theGLSinthe poor-prognosis group wasdecreased,and globalSI,global ESI,andQFR positivityrate were increased,with statisticallysignificant differences(all P <0.05).MultivariateLogistic regression analysisshowed thatGLS,globalPS,andQFRweretheindependentinfluencingfactorsforpredicting prognosisafterPCIin STEMI patients(all P <0.05).The combined model equationwas:Logit (P)= -0.075-0.342×GLS+0.214×globalPSI+2.134×QFR. ROC curveanalysisshowedthattheareaunder thecurvethe modelfor predicting prognosis afterPCIin STEMI patients was 0.928(95%CI: 0.871-0.985),with a sensitivity 82.0% and a specificity 89.0% .Conclusion The combined application PSS parameters and QFR has certain clinical value in predicting the prognosis after PCI in STEMI patients.
KEYWORDsSpeckletracking echocardiography,two-dimensional;Acute myocardial infarction;Postsystolic shortening;Quantitative flowratio;Percutaneous coronary intervention;Progosis
经皮冠状动脉介人治疗(percutaneous coronaryintervention,PCI)是ST段抬高型心肌梗死(ST-segmentelevationmyocardialinfarction,STEMI)患者的关键治疗方式,其可通过重建血运有效改善心肌缺血。(剩余10261字)