现代泌尿外科杂志

现代泌尿外科杂志

2025年11期
  • 收藏
收藏成功
微博 空间 微信
《现代泌尿外科杂志》于1996年创刊,2000年公开发行,是由国家教育部主管、西安交通大学主办的一本泌尿外科领域的专业学...     展开

类型

月刊

类别

定价
促销信息
全年订阅更优惠!
¥15.00 ¥9.00
目录

肾癌精准治疗专题

肾癌靶免联合药物安全性管理
摘要:近年来,肾癌靶向治疗与免疫治疗联合应用已成为各大指南推荐的晚期肾癌治疗方案。然而,靶免联合治疗虽然有显著的疗效和生存优势,但也伴随着多种不容忽视的不良反应。因此,如何在靶免联合治疗中有效管理不良反应,确保患者的治疗安全性,成为肾癌临床...
身体质量指数对接受机器人辅助肾部分切除术肾透明细胞癌患者围手术期结局及预后的影响
摘要:目的探讨身体质量指数(BMI)对接受机器人辅助腹腔镜下肾部分切除术(RAPN)的肾透明细胞癌(cRCC)患者围手术期结局及预后的影响,为优化该类患者的临床管理策略提供参考。方法回顾性分析 2014—2023年于南京大学医学院附属鼓楼医...
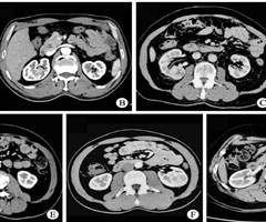
三维重建精准识别肾血管变异指导腹腔镜肾部分切除术应用价值
摘要:目的探讨三维重建技术用于腹腔镜肾部分切除术(LPN)术前评估的临床价值,帮助临床提高手术治疗的安全性和推进治疗个体化。方法回顾性分析2019年12月—2023年12月于复旦大学附属肿瘤医院接受LPN的120例T1期肾癌患者的资料,根据...
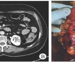
肾部分切除术中假包膜外基底静脉癌栓的发现及临床意义:8例报告及探讨
摘要:目的总结行肾部分切除术时发现假包膜外基底静脉癌栓肾癌患者的临床特点,并探讨其临床意义,以加深对肾癌伴癌栓形成机制的理解。方法回顾性分析西安交通大学第二附属医院 2023年9月—2025年7月行肾部分切除术的209例肾癌(Tla162 ...
伴肾静脉属支侵犯的肾细胞癌:诊断的挑战及机器人辅助腹腔镜下肾部分切除术短期疗效
摘要:目的探讨机器人辅助腹腔镜下肾部分切除术(RAPN)治疗伴肾静脉属支侵犯的肾细胞癌(RCC)患者的短期疗效,总结诊治该类患者的经验与手术技术要点。方法回顾性分析 2022—2024年由同一医生(有机器人手术超过1000例经验)团队实施R...
apCAF通过趋化因子网络驱动肾透明细胞癌三级淋巴结构形成的空间多组学研究
摘要:目的分析肾透明细胞癌(cRCC)中癌症相关成纤维细胞(CAF)的异质性谱系,并探讨抗原呈递CAF(apCAF)与三级淋巴结构(TLS)空间分布和形成之间的关系。方法整合7个ccRCC单细胞测序转录组队列( ?=88 ,运用Harmon...
用于肾细胞癌诊治的新型PET/CT示踪剂研究进展
摘要:肾细胞癌(RCC)是具有高度侵袭性的恶性肿瘤,传统的18氟-脱氧葡萄糖(18F-FDG)正电子发射断层扫描/计算机断层扫描(PET/CT)在诊断RCC原发灶时存在敏感性不足的问题。本文综述近年来用于诊治 RCC的新型 PET/CT示踪...
肾肿瘤局灶治疗的研究进展
摘要:局灶治疗已逐渐成为对一部分肾肿瘤外科治疗的替代方式,其核心原理是通过物理或化学手段局部毁损肿瘤组织,从而实现肿瘤控制,可用于肿瘤直径 ?4cm 、无法耐受手术或麻醉(如高龄、合并症、孤立肾)、肾功能不全及既往肾部分切除术后复发的患者。...
机器人辅助肾部分切除术治疗复杂性肾肿瘤的研究进展
摘要:机器人辅助肾部分切除术(RAPN)作为复杂性肾肿瘤微创治疗的一项重要进展,显著提升了手术精准性与安全性。本文综述了RAPN 相较于腹腔镜手术(LPN)在缩短肾脏热缺血时间、保护肾功能等方面的技术优势;阐述了其适应证的扩展、与新兴技术(...

临床研究

输尿管软镜碎石术治疗 2~3cm 肾结石患者的结石残留风险预测:列线图模型的构建与验证
摘要:目的构建并验证用于预测输尿管软镜碎石术(FURL)治疗 2~3cm 肾结石患者术后结石残留风险的列线图模型,为临床治疗选择提供参考。方法回顾性分析 2017年6月—2024年4月于常熟市第一人民医院接受FURL的342例 2~3cm ...
胰岛素样生长因子家族2在膀胱癌中的表达及其与患者生存预后的关系
摘要:目的基于TCGA、TIMER2.0和HPA数据库资料探究胰岛素样生长因子家族2(IGFL2)在膀胱癌中的预后价值及免疫作用。方法利用生物信息学分析 IGFL2在膀胱癌中的表达及其与膀胱癌患者生存预后的关系;应用受试者工作特征曲线和预后...
改良HOOD法在腹腔镜根治性前列腺切除术中的应用初探(“大家泌尿网”观看手术视频)
摘要:目的探讨改良 HOOD法在腹腔镜根治性前列腺切除术中的临床应用价值。方法回顾性分析 2022年7月20日一2024年12月20日由同一手术团队完成的71例腹腔镜前列腺根治性切除患者的围手术期资料,根据手术方法的不同将患者分为观察组(2...

基础研究

综合多组学分析与人工神经网络揭示中国人群肾上腺皮质癌患者的分型与预后
摘要:目的通过综合多组学分析与人工神经网络(ANN)划分肾上腺皮质癌(ACC)的精准分子亚型并建立预后预测模型,探索不同亚型与免疫治疗反应相关的生物学特征,为ACC的准确预后评估及个体化治疗提供参考。方法整合2012年1月1日一2022年1...

综述

新兴影像引导技术用于前列腺靶向穿刺的进展
摘要:前列腺癌(PCa)的早期诊断高度依赖穿刺活检技术的进步。传统经直肠超声引导前列腺系统穿刺活检(TRUS)存在感染风险高、病灶定位准确性不足、漏诊率高等问题。而经会阴前列腺穿刺活检具有空间采样优势、可降低感染且有影像融合的潜力。随着影像...

短篇与个案

抗血栓和辜丸减张挽救长时间大角度辜丸扭转2例报告
辜丸扭转是急症,扭转时间超过 6h 且扭转角度大的病例经术中复位、温敷等措施后,若睾丸血供未恢复,须切除睾丸。国内尚未检索到通过肝素精索注射联合睾丸切开减张挽救扭转辜丸的报道。收治2例患者,辜丸长时间扭转且扭转角度达 720∘ ,采用此法成...
临床表现酷似肾盂癌的罕见良性肿瘤肾盂海绵状血管瘤1例报告及鉴另诊断思考
肾海绵状血管瘤临床较罕见,主要临床表现为间歇性血尿,部分表现为腰痛,易误诊为肾脏恶性肿瘤,导致手术方式选择不当,该病术前难以确诊,常通过术后病理确诊。贵州省人民医院(以下简称“我院")泌尿外科收治1例临床表现酷似肾盂癌的肾盂海绵状...
相关杂志
订阅全年后,您可享受以下权益
①该本杂志即日起至未来1年内所有更新电子版杂志的使用权限;
②赠送该杂志的部分往期的杂志的使用权限,有效期1年。

全年订购价格: ¥108.00

订阅全年
--%>

登录龙源期刊网

温馨提示:

1.点击网站右上角的“充值”按钮可以为您的账号充值

2.充值金额可以选择30,50,100或500元

3.充值成功后即可购买网站上的任意杂志或文章

还没有龙源账户? 立即注册

购买杂志

现代泌尿外科杂志

杂志价格:¥9.00元

  • 微信扫码支付
  • 当前余额:100.00

购买杂志

现代泌尿外科杂志

杂志价格:¥9.00元

  • 微信扫码支付
  • 当前余额:¥100.00

    去充值
monitor
客服机器人