华西口腔医学杂志

华西口腔医学杂志

2025年05期
  • 收藏
收藏成功
微博 空间 微信
《华西口腔医学杂志》是由教育部主管,四川大学主办的口腔医学专业性学术期刊。1983年8月创刊。其主要任务是报道我国口腔医...     展开

类型

双月刊

类别

定价
促销信息
全年订阅更优惠!
¥18.00 ¥5.90
目录

专家共识

牙槽骨缺损骨充填或移植替代材料临床随机对照试验设计与评价方法的专家共识
[摘要]骨移植是一种治疗骨缺损的主要方法,其中,异种骨材料由于来源丰富、加工储存便利、避免二次手术等优势被广泛应用于临床骨缺损的治疗中。随着国产化进程的推进及进口产品的有限性,越来越多的骨充填或移植替代材料进入临床试验中。为了加强对医疗器械...

专家论坛

人工智能在牙周病学的应用现状与未来展望
[摘要]人工智能(AI)技术在牙周病学领域快速发展,为临床诊断、风险评估、个性化治疗方案以及患者远程照护等各个环节带来全新机遇。基于深度学习、机器学习、自然语言处理等核心技术,AI能有效提升牙周疾病早期诊断敏感性,精确量化牙槽骨丧失程度与软...

临床决策

十六步新模式舒适化龈上洁治术的临床探索与实践
[摘要]舒适化龈上洁治术是以超声洁治为基础,联合镇静、微创等技术,最大程度降低患者治疗的不良感受,提升患者就诊依从性。目前临床上已开展的舒适化龈上洁治术在环境、设备、操作步骤等方面仍有较大的优化空间。在此基础上,西安交通大学口腔医院牙周病科...

基础研究

芦荟大黄素通过血小板凝血酶蛋白-1-PI3k-Akt通路抑制瘢痕组织纤维化的研究
[摘要]目的探讨芦荟大黄素通过血小板凝血酶蛋白-1(THBS1)—磷脂酰肌醇3-激酶(PI3K)—蛋白激酶B(Akt)抑制瘢痕组织纤维化的机制。方法对人腭裂术后瘢痕组织来源成纤维细胞进行培养,采用不同浓度(10, 20, 30, 40, 5...
硅酸钙的缺陷改性及其在口腔抑菌和牙齿再矿化的应用研究
[摘要]目的对硅酸钙(CSO)改性赋予光热抑菌性能,评估其在口腔抑菌和牙齿再矿化方面的应用潜力。方法采用缺陷工程改性策略,通过硼氢化钠( NaBH4 )热还原工艺将氧空位引入CSO,制备4组缺陷改性CSO-T样品(CSO-300、CSO-4...
母抗十二肽同源物7在头颈鳞状细胞癌的表达及其预后诊断价值
[摘要]目的通过生物信息学分析及基础实验探究母抗十二肽同源物(SMAD)7对头颈鳞状细胞癌(HN-SCC)的生物学功能及临床价值。方法在公开数据库中研究SMAD7在HNSCC中的表达,Western blot检测HN-SCC细胞系与正常上皮...

临床研究

浓缩生长因子联合黏性骨在上前牙牙槽嵴保存术中的临床效果评价
[摘要]目的比较浓缩生长因子(CGF)膜和Bio-Gide胶原膜,分别与Bi-Oss~黏性骨联合用于上前牙牙槽嵴保存术(ARP)的临床效果。方法选取30例上前牙拔除后需要行ARP的患者,随机分为Bio-Gide组和CGF组。2组均在拔牙窝内...
梯形瓣和角形瓣对引导骨再生术后黏膜血供及成骨效果的影响
[摘要]目的通过彩色多普勒血流成像技术(CDFI)及锥形束计算机断层扫描技术(CBCT)评估使用梯形瓣和角形瓣进行上颌前牙区引导骨再生(GBR)术后黏膜血管参数变化及成骨效果。方法将单颗上颌前牙种植手术同期GBR的患者随机分为梯形瓣组和角形...
3D打印树脂种植工作模型尺寸稳定性对替代体复制精度影响的初步研究
[摘要]目的研究3D打印树脂种植工作模型尺寸稳定性对替代体复制精度的影响。方法获取10例拟进行2个种植体支持的联冠或者固定桥修复患者的数字化印模,在模型打印完成后的3、7、14d在替代体上安装扫描杆进行扫描,在Geomagic Wrap 2...

牙周病学专栏

墨旱莲一女贞子治疗牙周炎的潜在成分及作用机制
[摘要]目的使用网络药理学与分子对接技术,探讨墨旱莲-女贞子(EPL-LLA)治疗牙周炎的潜在靶点和分子机制,并通过体外实验探究其生物相容性、对炎症相关因子的调控及抗氧化作用。方法通过多种数据库筛选并预测EPL-LLA的活性成分和潜在靶点,...
人参皂苷Rb3对大鼠实验性牙周炎的疗效研究
[摘要]目的探讨人参皂苷Rb3对大鼠实验性牙周炎炎症及骨吸收的疗效及作用机制。方法体内实验将雄性SD大鼠随机分为对照组、结扎组、Rb3组和多西环素(Dox)组,采用上颌第二磨牙结扎法建立牙周炎模型,药物处理3周处死取材。显微计算机断层扫描(...

牙体牙髓病学专栏

3种根管封闭剂充填效果的Micro-CT评估
[摘要]目的应用Micro-CT评价3种生物材料根管封闭剂iRoot SP、C-Root SP及GutaFlow Bioseal(GFB)的根管充填效果。方法选取60颗单根单管离体前磨牙,截冠使工作长度统一为 12mm ,机用镍钛根管预备至...
谷胱甘肽转移酶通过代谢重编程增强变异链球菌环境适应性的功能研究
[摘要]目的探讨谷胱甘肽转移酶(GST)对变异链球菌环境适应能力的影响。方法构建变异链球菌GST基因敲除株△gsT。通过转录组测序分析变异链球菌UA159野生型与其GST基因敲除株△gsT的基因表达差异,酸胁迫实验、过氧化氢胁迫实验分析耐酸...

临床病例

牙体显微分层修补术治疗上颌中切牙牙颈部外吸收1例
[摘要]牙吸收是在破牙细胞持续作用下发生的牙齿硬组织破坏。牙颈部外吸收是由于牙周膜或上皮下牙骨质破坏和(或)缺陷导致的牙齿颈部吸收。本文报道1例上颌中切牙外伤及正畸后牙颈部外吸收,术前通过锥形束CT充分了解患牙吸收部位和形态,术中利用显微技...
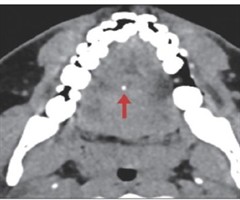
经舌腹入路取出舌根内鱼刺异物1例
[摘要]舌内异物在临床上较为罕见,其精确定位和适宜的手术路径选择对于降低手术风险和减少术后并发症至关重要。本文报道1例在影像学精确定位辅助下经舌腹入路取出舌根鱼刺异物的病例。...
相关杂志
订阅全年后,您可享受以下权益
①该本杂志即日起至未来1年内所有更新电子版杂志的使用权限;
②赠送该杂志的部分往期的杂志的使用权限,有效期1年。

全年订购价格: ¥30.00

订阅全年
--%>

登录龙源期刊网

温馨提示:

1.点击网站右上角的“充值”按钮可以为您的账号充值

2.充值金额可以选择30,50,100或500元

3.充值成功后即可购买网站上的任意杂志或文章

还没有龙源账户? 立即注册

购买杂志

华西口腔医学杂志

杂志价格:¥5.90元

  • 微信扫码支付
  • 当前余额:100.00

购买杂志

华西口腔医学杂志

杂志价格:¥5.90元

  • 微信扫码支付
  • 当前余额:¥100.00

    去充值
monitor
客服机器人