注册帐号丨忘记密码?
1.点击网站首页右上角的“充值”按钮可以为您的帐号充值
2.可选择不同档位的充值金额,充值后按篇按本计费
3.充值成功后即可购买网站上的任意文章或杂志的电子版
4.购买后文章、杂志可在个人中心的订阅/零买找到
5.登陆后可阅读免费专区的精彩内容
打开文本图片集
中图分类号:R735.2 文献标志码:A 文章编号:1672-0563(2025)05-0110-09
DOI:10.13773/j.cnki. 51-1637/z.2025.05.014
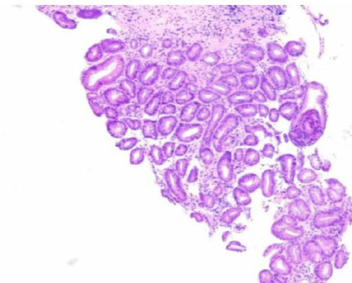
胃癌是一种常见的恶性肿瘤,其早期诊断和治疗至关重要。在我国为了提高早期胃癌的诊断准确性和治疗效果,我们通常借鉴了日本的诊断器械和内镜切除早期癌的方法。(剩余13147字)
登录龙源期刊网
购买文章
早期胃癌诊断中日本标准与WHO标准的对比研究
文章价格:6.00元
当前余额:100.00
阅读
您目前是文章会员,阅读数共:0篇
剩余阅读数:0篇
阅读有效期:0001-1-1 0:00:00