成人与青少年骨性Ⅲ类错牙合畸形患者掩饰性治疗后软硬组织和牙周情况对比分析

打开文本图片集
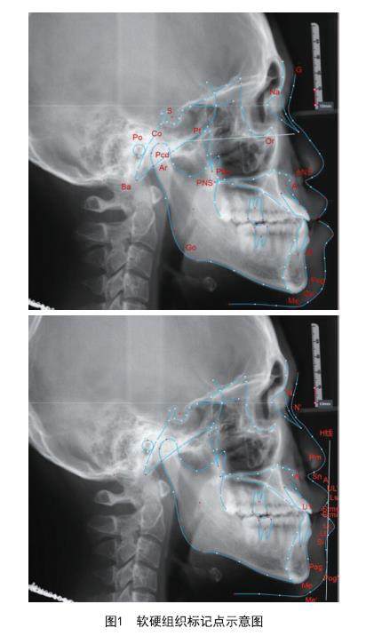
[摘要]目的:对成人与青少年骨性Ⅲ类错牙合畸形患者进行正畸掩饰性治疗,对比治疗前后软硬组织侧貌及牙周支持组织的变化,评价不同年龄组正畸治疗效果的差异。方法:选取2020年7月-2023年6月于无锡口腔医院就诊的40例符合研究标准的骨性Ⅲ类错牙合畸形患者,其中成年组20例,青少年组20例。两组均采取Damon Q自锁托槽矫治技术,期间未采用微种植体、前牵引面具等额外支抗装置,比较两组治疗前后软硬组织、牙周支持组织的测量值,评价不同年龄组的治疗效果及差异。(剩余13087字)