注册帐号丨忘记密码?
1.点击网站首页右上角的“充值”按钮可以为您的帐号充值
2.可选择不同档位的充值金额,充值后按篇按本计费
3.充值成功后即可购买网站上的任意文章或杂志的电子版
4.购买后文章、杂志可在个人中心的订阅/零买找到
5.登陆后可阅读免费专区的精彩内容
打开文本图片集
DOI:10.16424/j.cnki.cn32-1807/r.2025.06.021
[中图分类号]R563.2 [文献标志码]B [文章编号] 1674-7887(2025)06-0605-04
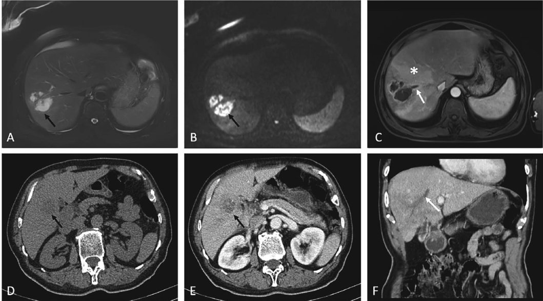
细菌性肝脓肿为临床常见的消化系统感染性疾病,是由细菌等微生物经胆管、门静脉、肝动脉或直接蔓延等途径侵入肝脏引发肝组织局限性化脓性炎症。(剩余6763字)
登录龙源期刊网
购买文章
肝脓肿并发肝脏静脉血栓形成的临床及影像学特征研究
文章价格:5.00元
当前余额:100.00
阅读
您目前是文章会员,阅读数共:0篇
剩余阅读数:0篇
阅读有效期:0001/1/1 0:00:00